干冰在日常生活中十分常见
比如冰镇冷饮、冰激凌
为冷链食物保鲜等
但很多人不知道
干冰若储存、使用不当
十分危险
把干冰当玩具
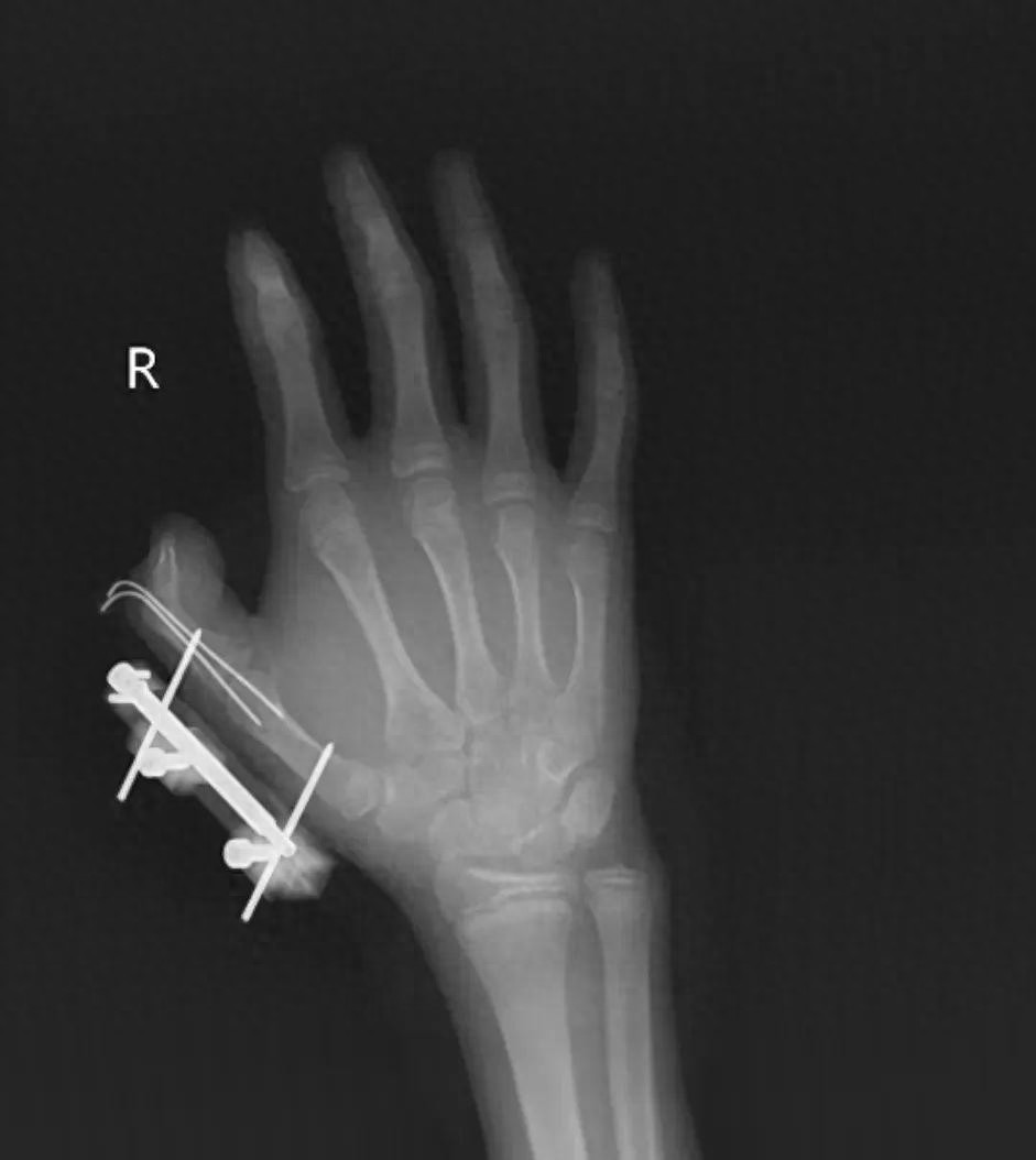
14岁少年手指被炸伤
前不久,湖南一名14岁少年维维(化名)在网购的冰激凌箱子里发现了用于冷藏的干冰,便拿走当玩具玩,捏在手里反复摇晃。
突然,密封袋里的干冰发生爆炸,维维的右手瞬间鲜血直流,拇指虎口处被撕开一道约10厘米的伤口,肌肉组织断裂外露,还伴随拇指骨折、关节脱位,整个拇指完全失去知觉。
经治疗,维维的拇指保住了,但后续还需长期康复训练,才能慢慢恢复手部精细动作功能。
干冰,又名固态二氧化碳,通常为无毒无味的白色固体,形状不一。干冰在常温常压下,可以直接升华成二氧化碳气体,升华时体积膨胀约800-1000倍,加入热水后会急剧加速升华,产生大量烟气。
湖南省人民医院手足显微外科主任陈建民介绍,如果将干冰装在密封袋里摇晃,随着气体不断增多,袋子承受不住压力就会爆炸。
干冰使用不当
可能造成致命危险
爆炸
很多人会将干冰放在冰箱里重复使用,但干冰的升华温度约为-78.5℃,冰箱冷冻室的温度在-4℃至-24℃之间,因此干冰放入冰箱后,会持续升华产生大量二氧化碳气体,致使冰箱内部压力过大,发生爆炸。
窒息
干冰升华后产生的二氧化碳气体会导致人呼吸困难,如果在较封闭的空间内,短时间就可引发窒息,危及生命。
2024年夏,一名男子在驾驶车辆时突感身体不适,几近昏迷。原来,该男子车辆后备箱中装了一箱冷饮,用干冰冷藏,因干冰发生升华,他在密闭车厢里吸入了过量二氧化碳,导致身体不适。
冻伤
干冰是温度在-78.5℃以下的固态二氧化碳,直接接触皮肤会瞬间带走热量,非常容易造成冻伤,甚至导致皮肤坏死,重则伤及肌肉、骨骼。
如何安全处理干冰?
避免密闭空间放置
切勿将干冰存放在矿泉水瓶等密闭容器中,或保存在冰箱里;干冰要放置在通风良好的地方。
不要在汽车等密闭空间内存放使用干冰。
接触必戴防护
不要直接接触干冰,为避免冻伤,可使用防冻手套或夹子拿取干冰。
受伤立即就医
当人体皮肤接触干冰后出现冻伤,应使用冻疮膏进行处理,若冻伤情况严重,应及时就医。
一旦被干冰炸伤,应马上就医,以免耽误治疗。
若干冰爆炸导致塑料、玻璃等包装碎片刺入身体,应保持原位并立即就医,盲目拔出可能加重损伤。
不建议储存干冰
用完的干冰最好放在通风良好的地方,让它自然升华成二氧化碳。
提示
干冰是生鲜冷冻“保鲜利器”
收到干冰应通风放置妥善处理
密封存放会爆炸,徒手接触易冻伤
若不慎被干冰炸伤冻伤
请立即就医
