今年7月,男童打水仗后发烧感染狒狒阿米巴原虫(食脑虫)引发广泛关注。
据现代快报报道,8月11日晚,孩子妈妈在社交平台发布了一封“君宝贝和妈妈的感谢信”,感谢信中,称孩子:“生命留在6岁8个月”,结尾称“也请大家给我们点时间,处理完剩下的事情,感谢。感恩所有帮助过我们的朋友们。”评论区网友纷纷留言“节哀”。8月12日,记者联系孩子妈妈,截至发稿前并未得到回复。
今年6月,孩子妈妈在社交平台发文,称孩子在上海复旦大学附属医院通过腰穿脑积液的检查,检查出来狒狒阿米巴原虫。对于为什么感染,男童妈妈表示,目前想到的就只有6月6日在学校打水仗和4月13日在公园里捞鱼,没有去过别的地方。
图源:紫牛新闻
7月2日有关专家进行会诊,会诊结果将使用国产的硝羟喹啉进行治疗,并且在走伦理用药流程,目前不知道什么时候能审批通过。7月3日,现代快报记者联系孩子妈妈了解到,目前已与制药公司联系上,“我们自己看到网友评论,联系到了之前治愈的孩子爸爸,他推荐了相关制药公司。我们医生立马联系了,现在就是在走流程。”孩子妈妈说。随后,在医院、药厂、热心网友的帮助下,孩子尝试用了各类药物和治疗。8月7日,孩子妈妈发文称患儿已在PICU27天。记者了解到,狒狒巴拉姆希阿米巴导致的中枢神经系统感染病情十分凶险,病死率高达98%。目前还没有明确有效的治疗方法。
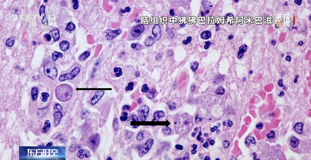
“食脑虫”并非昆虫,藏身淡水与土壤
感染“食脑虫” 病死率极高
“食脑虫”并不是真的虫子,而是一类分布于自然界中的单细胞生物阿米巴原虫。
首都医科大学附属北京友谊医院、北京热带医学研究所主任医师王磊介绍,目前,称之为“食脑虫”的阿米巴原虫有三种:福氏耐格里属阿米巴、狒狒巴拉姆希阿米巴、双核匀变虫。
王磊表示,这三种阿米巴原虫对人体造成损害主要有两方面:
造成皮肤性损害。阿米巴原虫通过破溃的皮肤进入人体以后,在破溃的局部形成肉芽肿性改变。
侵入中枢神经系统,导致患者出现间断或者持续性的抽搐、昏睡昏迷,以颅内高压为表现的恶心、呕吐、头疼,大约在1—2周以后就会造成不可逆转的神经系统病变。
2022年,浙江大学医学院附属儿童医院感染科曾收治了一例阿米巴原虫感染患儿,经过两个月左右的治疗,患儿才脱离生命危险。
浙江大学医学院附属儿童医院感染科主任黄丽素曾参与这次救治,她坦言,目前幼儿感染阿米巴原虫在治疗药物和方案上还缺乏成熟手段,只能根据患者情况,通过多种药物联合作用、控制颅内压、手术等综合手段积极挽救患儿生命。
复旦大学附属华山医院感染科副主任王新宇介绍,在我国,“食脑虫”感染属于罕见事件,发生概率较低,感染者中多见幼儿、青少年群体。“食脑虫”主要通过鼻黏膜、皮肤破损处等进入人体,常见于温暖的淡水,如湖泊、池塘、河流、温泉、未氯化的游泳池、污水和土壤中。
如何才能避免“食脑虫”感染?
专家建议从以下几个方面入手:
■远离不干净的水
不要在卫生状况不佳的野外水体里游泳,尤其要避免潜水、跳水,以免增加鼻腔进水风险。
如果自身皮肤有破溃情况,尽量不要进入自然水体。
避免用未经消毒或煮沸的自来水冲洗鼻腔。
■做好卫生防护
必须进入自然水体进行作业的情况下,要使用鼻夹,同时避免搅动水体底层沉积的物质,减少阿米巴原虫进入人体概率。
接触土壤后及时进行清洁,确保皮肤无伤口暴露。
佩戴隐形眼镜时做好消毒,避免接触污染水源。
游泳场所做好消毒工作,确保卫生条件达标。
王新宇强调,鼻腔被温暖的淡水猛冲,是最典型的感染途径。如果在“温暖淡水呛鼻”后一两周内,出现高烧、剧烈头痛、恶心呕吐、颈脖僵硬,甚至很快意识模糊,务必立刻就医,并主动告诉医生“最近在哪个水域把水呛进鼻子了”,以便检测确认病因。
来源| 新闻晨报 综合现代快报、央视新闻、此前报道等
