4月16日,上海丝芭文化传媒集团有限公司发布讣告。其公司创始人王子杰先生因突发心源性疾病,经抢救无效在上海逝世,享年63岁。
近期,多位名人相继因心源性疾病离世,2026年,教育行业知名人士张雪峰被曝因心源性猝死离世;金融领域方面,国通信托董事长汤建亦因心梗不幸去世。在更早的案例中,演员高秀敏、作家王小波、编剧梁左等知名公众人物,也均因心脏疾病突发离世。
近来,全国多地医院心血管内科迎来了大批主动检查者,然而对多数人而言,更普遍的问题是平时没有护心意识,往往等到风险累积、疾病突然暴发,才追悔莫及。
42岁壮年突发心梗
右冠脉完全闭塞
“事后我才知道,如果当时再晚些就诊,很可能会心跳骤停。”回想起来,郭先生庆幸着自己的劫后余生。
42岁的厨师郭先生,在上班途中突发急性心肌梗死,幸好及时拦住警车求助,直奔上海市东方医院急诊,心血管内科医生紧急植入支架才保住了性命。
“支架只能管一时,自救才能管一世!”东方医院心血管内科主任医师张奇提醒,“支架放入不是一次性把冠心病甚至未来风险都治好了,真正的‘护心’靠的是平时保养。”
正值壮年
缘何突然心梗?
42岁的郭先生是沪上某餐厅厨师,工作常年“黑白颠倒”——下午3时上班,凌晨3时下班,熬夜是家常便饭。他有很重的烟瘾,饮食更是重油重辣、高盐高脂。更关键的是,直到这次住院他才发现自己患有高血脂,冠状动脉里的斑块早已悄然形成。
当天下午,他骑电动车去上班,开到半路突然胸口剧痛、喘不上气、满头大汗、眼花耳鸣,撑不住停在路边。正好有警车路过,他强撑着找到了警察,警车很快将他送到东方医院急诊,为抢救争取了黄金时间。
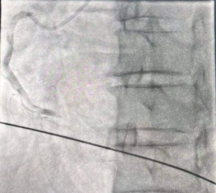
医生检查发现:郭先生是急性心肌梗死,心脏右冠状动脉的远端已经完全闭塞,没有任何血流通过;之后经手术植入心梗支架后,郭先生终于转危为安。
右冠状动脉的远端完全闭塞,没有任何血流通过
据介绍,长期作息紊乱会打乱交感神经与迷走神经的节律,导致血压波动、炎症因子升高;高脂高盐饮食则加速动脉粥样硬化;吸烟更是直接损伤血管内皮,诱发斑块破裂。郭先生的遭遇,正是多重危险因素叠加后的“总爆发”。
心梗发病年龄呈年轻化
出现这些症状千万别“硬扛”
《中国心血管健康与疾病报告2023》数据显示,急性心肌梗死发病年龄呈年轻化趋势,住院患者中青年占四分之一。
引发心梗的诱因大多和长期不良生活习惯密切相关。“一根血管,可能3毫米的直径,血栓一旦形成,就会把血流都堵死,发生心肌梗死。这种不稳定斑块的破裂,往往是有一定诱因的,比如抽烟、熬夜、喝酒、过度劳累、情绪激动等。”张奇解释。
再加上很多人自认为年轻、身体好,常常忽视身体发出的预警信号。出现胸闷、胸痛、心慌、左肩放射痛、莫名疲劳时,以为忍一忍就过去了,能自行缓解,却不知道这背后可能是斑块破裂、血栓形成的危险信号,很容易错过最佳救治时间。
专家指出,预防心梗一定要从改变不良生活习惯做起:规律作息,避免长期熬夜,保证夜间睡眠时长与质量;清淡饮食,减少油、盐、糖摄入,增加膳食纤维与不饱和脂肪酸;戒烟限酒,吸烟是心梗的独立危险因素,戒烟可使心梗风险下降;适度运动,每周开展中等强度有氧运动;定期体检,及时发现并控制高血压、高血脂、糖尿病等基础问题。
不再“千人一律”
血脂检查标准也“分情况”
专家特别提醒,根据最新版的《中国血脂管理指南》,临床上被称为“坏胆固醇”的低密度脂蛋白胆固醇,不同人群的指标要求并不相同。健康人群目标值是小于3.4mmol/L,但像郭先生这样出现过心梗的,就属于极高危人群,目标值设置的要更加严格。
新民晚报记者了解到,目前申城多家医疗机构的血脂报告单已根据不同人群危险分层,设置相应的目标值。“病情越危重,合并症越多,血脂控制要求就越严格,比如心梗、脑梗患者,低密度脂蛋白胆固醇就要控制在小于1.4甚至1.0mmol/L,比健康人群要求更严格。”心血管内科副主任医师游洁芸介绍。
哪些人容易患冠心病?
冠心病是一种多因素疾病,其发生与年龄、性别、家族史以及不良生活方式等危险因素密切相关。健康的生活方式有助于降低心血管事件风险,延缓动脉粥样硬化进程,提高生活质量。为了远离冠心病,建议控制“三高”(高血压、高血糖、高血脂)、控制体重、戒烟限酒、健康饮食、适度运动、减少心理压力、避免过度劳累、规律生活作息、保持充足睡眠。
发生急性心肌梗死
应该如何急救?
急性心肌梗死起病急、死亡率高,被称为“生命杀手”,一旦怀疑心肌梗死,应立即就诊。“时间就是心肌,时间就是生命”,尽早开通罪犯血管至关重要。因此,应第一时间拨打120,尽快送至具有救治能力的胸痛中心。如患者出现心跳呼吸骤停,要立即进行有效的心肺复苏。
新民晚报(记者 郜阳),综合国事直通车
