极目新闻通讯员 邓宇
“感觉就像是睡了一觉,治疗就结束了。”4月16日,刚刚走出华中科技大学同济医学院附属同济医院质子中心的杨大爷(化名)面色红润,步伐轻快。就在一个多月前,他还是一位被确诊为前列腺癌,正准备迎接一场“煎熬”放疗的患者。
前列腺紧贴着直肠,这给放疗出了个难题:高剂量射线要“杀死”肿瘤,但紧挨着的直肠前壁却极易“躺枪”,引发便血、腹泻等放射性直肠炎。很多患者因此苦不堪言,甚至中断治疗。
“不能再让患者‘杀敌一千,自损八百’。”与泌尿外科、泌尿及男性生殖系统肿瘤科、超声影像科、核医学科开展了MDT多学科讨论后,同济医院肿瘤放射治疗中心主任陶振团队决定换个思路。
3月初,在该院质子中心治疗室内,一场精细的“微创手术”悄然进行。在超声引导下,医生将一种无菌、可吸收的聚合物水凝胶,像“打针”一样精准注入杨大爷的前列腺和直肠之间的间隙。
患者在质子中心治疗室接受治疗
短短20分钟,注入的凝胶迅速成型,如同一块约1厘米厚的“果冻”,将直肠前壁稳稳推开。“这就好比给直肠建起了一道‘防火墙’,或者说是为前列腺穿上了一件‘防弹衣’。”陶振形象地解释道,“这样,高剂量的质子束就能心无旁骛地爆破肿瘤,而直肠安然无恙。”
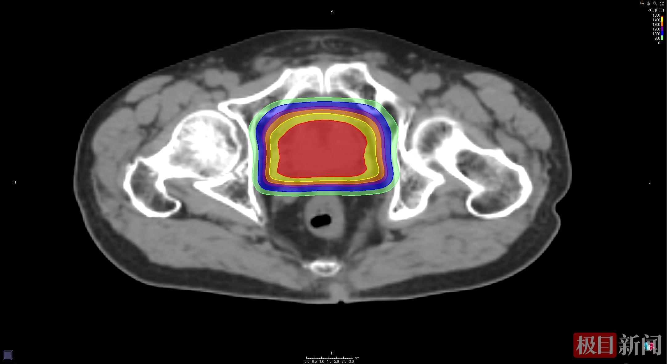
患者质子放疗靶区剂量分布图显示:直肠区域几乎无高剂量射线照射
有了“防火墙”的保护,真正的“重头戏”——质子超大分割放疗拉开帷幕。“不用紧张,每次治疗就几分钟,躺着不动就好。”治疗师轻声安抚着杨大爷。随着设备启动,无声的质子束精准锁定目标。
“与传统放疗要‘跑’二三十次、持续一两个月不同,我们这次的方案是一周内完成5次治疗。”主管医生介绍,“这就是‘超大分割’技术,把总剂量分成几次‘猛药’,精准高效。”
治疗期间,杨大爷每天准时“上下班”。没有预想中的恶心、呕吐,更没有便血和腹泻。“刚开始还有点紧张,后来发现跟做B超检查差不多,做完就回家吃饭,啥事没有。”杨大爷笑着说。
治疗结束一个月后,杨大爷回到医院复查。肿瘤标志物(PSA)及盆腔MR结果显示:未见明显异常。
陶振表示:“这是华中地区首例‘质子大分割放疗+可吸收隔离水凝胶直肠保护术’的成功应用。我们的目标不仅仅是治好病,更是让患者有尊严、高质量地活下来。”
据悉,同济医院质子中心正将这一经验总结推广,未来有望为更多中低危前列腺癌患者提供“既保命、又保肛”的精准治疗方案。
