极目新闻通讯员 官笑涵 周长璐
13岁男孩吃甲鱼时误吞骨头,尖锐骨片卡在食管第二狭窄处,尖端距离主动脉仅1.1毫米!紧急转往武汉儿童医院后,多学科专家协作,最终通过食管镜将骨片完整取出,避免了开胸手术。4月7日,男孩恢复良好,顺利出院。
13岁的小轩(化名)来自潜江。前几天,他吃饭时不小心将一块甲鱼骨混着饭吞了下去,没过多久胸口就一阵刺痛,尤其是吞口水时加重。他在当地医院接受检查时,医生发现一块尖锐的异物卡在孩子食管第二狭窄处,家长推测可能是甲鱼骨头。
食管第二狭窄处是食管“高危路段”之一,周围紧邻主动脉弓和气管分叉,一旦异物刺穿食管壁,极易损伤大血管,后果不堪设想。在当地医生建议下,小轩父母带着孩子赶到武汉儿童医院。
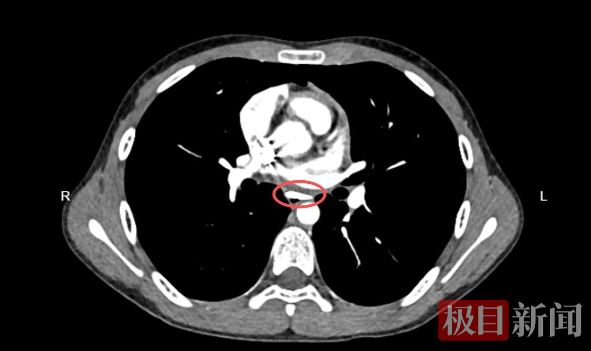
抵院后,医护人员为小轩完善了胸部增强CT检查,结果显示:异物位于胸段食管腔内,大小约26毫米×16毫米×5毫米,形状为三角形,像一块小“匕首片”卡在食管中,距离主动脉仅约1.1毫米,随时可能刺破血管,引发生命危险。
CT检查下的食管异物
当即,耳鼻喉科团队立即启动多学科会诊,紧急联系心胸外科、麻醉科等专家团队,反复研判影像检查资料,讨论手术方案。“虽然异物位置凶险,但尚未穿透食管全层,还有一线希望从食管镜下取出。”团队决定,先由耳鼻喉科在食管镜下尝试取出,心胸外科全程待命,随时做好紧急开胸的准备。
CT三维重建图像显示,异物紧邻主动脉,位置凶险
术中,耳鼻喉科团队“锁定”食管中段的甲鱼骨片,由于操作空间有限,医生只能以极小的幅度慢慢调整角度。好在骨片被一点点与食管壁分离,避开了脆弱的血管侧同时慢慢松动、取出。移动到食管入口处时,骨片还曾“卡顿”了一下,最终有惊无险地取出异物,未出现食管穿孔、出血等并发症。看到小轩顺利脱险,不用经历开胸手术,大家都松了一口气。
医生从患儿食管内取出的尖锐骨片
术后,患儿生命体征平稳,胸痛症状立刻缓解。4月7日,小轩恢复良好,顺利出院。
“对于食管异物,预防发生是关键。给儿童吃食物时,务必仔细剔除骨头、鱼刺等,也要教育孩子养成细嚼慢咽的就餐习惯。”武汉儿童医院耳鼻喉科主任医师夏忠芳提醒,若不慎误吞异物,家长应第一时间让孩子禁食禁水,迅速前往医院就诊,切勿用手抠挖或者试图吞饭或强行咽下,这些方法可能导致异物移位,划伤食管壁甚至刺破血管,导致危险进一步“升级”。
