极目新闻通讯员 宋平 江洪祥 邹亚琴
“春困秋乏夏打盹,睡不醒的冬三月。”这个冬天,43岁李先生看似普通的乏力嗜睡,背后却隐藏着罕见的巨大颅内肿瘤。短短数日,他即从意识清醒急转昏迷偏瘫,生命危在旦夕。
千钧一发之际,武汉大学人民医院(湖北省人民医院)东院区神经外科团队开启生死救援,在多学科协作(MDT)护航下,成功完成高难度急诊手术,不仅挽救患者生命,更最大程度保护其神经功能,为后续治疗赢得关键机会。
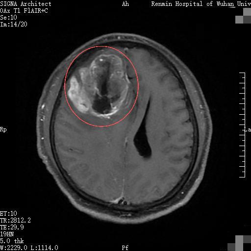
一月前,湖北黄石市民李先生因持续半个月出现全身乏力、精神萎靡等症状,来到武汉大学人民医院东院区就诊。入住风湿免疫科后,颅脑核磁共振检查显示,其右侧额叶有一6cm×5.5cm巨大占位,高度怀疑为恶性肿瘤,且肿瘤已侵犯胼胝体并累及左侧额叶。
更危急的是,巨大肿瘤引发严重脑水肿,导致大脑镰下疝、额叶直回疝形成,鞍上池受压变形,还伴有脑积水。此时,李先生颅内状况如同一颗被挤到极限的“炸弹”,随时可能危及生命。
李先生被紧急转入东院区神经外科四病区。刚转科不久,他就突发浅昏迷,一侧肢体偏瘫。急诊复查CT提示,其脑水肿较前显著加重,脑疝形成,生命体征告急。
“这是典型的颅内高压危象,肿瘤周围水肿急剧加重引发了脑疝!”神经外科四病区主任王峻教授团队当即果断决策,采取加强脱水、强力控制颅内压等抢救措施,暂时稳住病情。但唯有尽快手术切除肿瘤,才能从根本上解除生命威胁。
时间就是生命,该院立即启动急危重症颅内肿瘤MDT救治绿色通道。面对这一危重复杂病例,王峻教授迅速组织团队展开紧急深入讨论,各方达成共识:此次手术既要解除脑疝,挽救患者生命,也要在最大程度保护神经功能的前提下,尽可能全切肿瘤,为明确病理诊断和后续综合治疗创造最佳条件,同时还要解决脑脊液循环通路及脑积水问题。
在东院区麻醉团队的密切配合和保驾护航下,王峻教授团队凭借丰富的临床经验和精湛的显微外科技术,充分利用术中导航和电生理监测技术,在显微镜下精准操作。
术中可见肿瘤体积巨大,血供异常丰富,与周围水肿的脑组织边界模糊,且已跨越中线,手术难度极大。王峻教授团队如“雕刻”般进行操作,彻底切除病变组织,同时小心翼翼保护负责运动、语言等重要功能的脑区及关键血管。术后,患者受压移位的脑组织逐渐复位,颅内生命通道恢复通畅。影像学复查结果显示,肿瘤切除效果满意,脑疝完全复位。
术后,在重症监护团队和护理团队的精心照护下,李先生的恢复过程十分顺利,其神志逐渐清醒,偏瘫肢体的肌力一天天好转,最终实现生活完全自理,未遗留明显神经功能后遗症及手术相关并发症,创下高质量生存的奇迹。
病理报告最终确诊,李先生所患为胶质母细胞瘤(CNS WHO 4 级),这一结果为后续肿瘤科开展标准的同步放化疗和电场治疗等提供了确凿依据。目前,李先生已顺利转入肿瘤科接受进一步规范化治疗。
武汉大学人民医院神经外科主任李明昌教授表示,积极、精准、及时的外科干预,是战胜复杂颅内肿瘤的基石。高级别胶质瘤的治疗是一场持久战,而手术的“第一枪”必须精准,既要最大程度切除肿瘤,又要保护语言、运动等核心功能区,这正是该院神经外科的核心优势。
武汉大学人民医院(湖北省人民医院)神经外科是国家临床重点专科。学科将继续精进技术、深化多学科协作,以MDT 模式为引擎,构建从术前诊断、手术治疗到术后康复、综合治疗的全流程救治体系,形成“诊疗-手术-康复-随访”全链条闭环,为更多颅内肿瘤患者点燃生命之光,共同守护“脑健康”。
