极目新闻通讯员 陈瑾暄 岳圆
“乳牙掉了好几年,新牙怎么就是不长?”12月15日,家住武汉的王女士带着满心的困惑,领着13岁的儿子康康来到武汉大学中南医院口腔医学中心就诊。经过详细检查,医生终于找到了“失踪”的恒牙——它们竟歪着“藏”在了孩子的颌骨里,并通过锥形束CT精准定位并制定牵引方案,让“迷路”的牙齿回归正常轨道。
3颗恒牙全部位置异常
据王女士介绍,康康数年前乳牙脱落,可对应的恒牙却迟迟没有萌出。起初家人以为只是长牙稍晚,便耐心等待,可眼看身边同龄孩子牙齿早已替换完毕,康康左上颌的3颗前牙却毫无动静,仅侧门牙长出了一半,大门牙的位置始终空空如也,这才让她意识到问题的严重性。
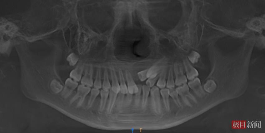
口腔正畸科副主任医师尹苗接诊后进行了细致检查,发现康康口内乳牙已全部脱落,进入恒牙列期,后续替换的乳牙均正常萌出,但左上颌区本应更早萌出的3颗前牙却“缺席”。通过锥形束CT(CBCT)检查,结果显示这3颗恒牙并非未发育,而是全部位置异常,牙冠呈近中倾斜阻生状态,其中左上门牙完全埋伏于颌骨内。
面对王女士“为什么就这3颗牙‘迷路’了”的疑问,尹苗解释道,口腔内有时会上演牙齿“捉迷藏”,本该按时萌出的牙齿未能在牙列中就位,反而隐藏在颌骨内形成埋伏牙。这就像迟到的士兵一样,需要特殊引导才能找到自己的“岗位”。埋伏牙的形成原因多样,可能是牙列空间拥挤被“邻居”挤占萌出通道,也可能是牙齿萌出方向错误,或多生牙等组织阻碍了恒牙萌出。
针对康康的情况,尹苗副主任医师团队制定了治疗方案:首先通过CBCT精准定位埋伏牙位置、角度及与邻牙关系;随后在可见牙列上安装托槽弓丝,以弹性链或钢丝连接并施加轻柔持续的牵引力,激活牙周反应,促使牙齿沿预设轨道移动至正常位置。牙齿归位后需经历稳定期,拆除矫治器后还需佩戴保持器防止复位。
“早发现、早干预是维护孩子口腔健康的关键。”尹苗表示,埋伏牙若长期滞留在颌骨内,不仅无法履行咀嚼功能,还可能引发颌骨囊肿、损伤邻牙牙根、导致牙列不齐等一系列问题。她提醒广大家长,孩子替牙期间,若乳牙脱落后继承恒牙超过三个月仍未萌出,应及时前往正规医院口腔正畸科进行详细检查,通过专业评估排查埋伏牙等问题,做到早发现、早干预,为孩子的口腔健康保驾护航。
