近日,同济大学附属上海市第四人民医院神经外科成功实施“机器人辅助接触性内镜引流导管全程可视化脑干血肿穿刺术”。该手术借助先进机器人辅助系统与可视化球囊导管相结合,实现从脑皮层全程可视化操作,凭借亚毫米级高精度定位与“精准探针”般的接触性内镜引流导管,在清晰视野引导下高效完成血肿穿刺抽吸引流,最大程度减少脑部正常组织损伤,做到“精准微创”。
71岁的王奶奶(化名)因“突发意识障碍伴呕吐1小时”紧急入住上海四院。入院查体显示,其格拉斯哥昏迷评分仅4分,处于深昏迷状态,对痛刺激呈肢体伸直反应;双侧瞳孔直径2毫米、光反射迟钝,虽自主呼吸正常、血压稳定,但血常规检查提示血小板计数远低于正常水平。
经综合诊断,王奶奶不仅患有脑干出血这一高危急症,还合并肝硬化、脾功能亢进、血小板减少、高血压3级(极高危)及肺部感染等多种基础疾病,复杂病情给后续治疗方案的制定与实施带来巨大挑战。
“脑干直径仅3厘米,却是掌控人体呼吸、心跳、血压等关键生命体征的‘生命中枢’。一旦发生出血,就像引爆‘定时炸弹’,患者常迅速出现意识丧失、肢体瘫痪,甚至呼吸心跳骤停。”上海四院神经外科主任张志文介绍,
临床数据显示,脑干出血占自发性脑出血的6%-10%,死亡率却高达65%,是神经外科最凶险的急症之一。
考虑到王奶奶病情危急,上海四院神经外科团队第一时间启动多学科协作机制,联合麻醉与围术期医学科、血液科、重症医学科等科室专家共同评估病情。术前检查发现,王奶奶血小板计数进一步下降,为规避术中术后出血风险,医疗团队紧急为其输注血小板与冷沉淀血浆,待凝血功能指标稍趋于稳定后,抓紧时机立即手术。
在全麻状态下,张志文主任带领神经外科团队为王奶奶实施“机器人辅助全程可视下脑干血肿穿刺抽吸引流术+脑室Ommaya囊植入术+颅内压监测探极置入术”。
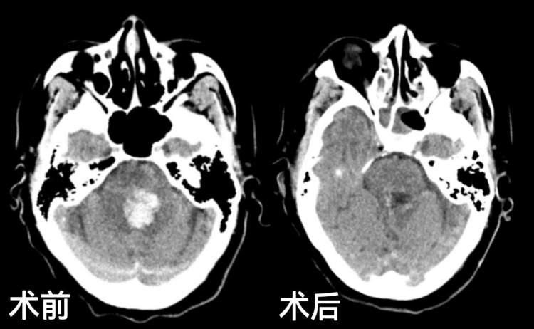
术中,机器人辅助系统精准定位脑干血肿位置,按设计好的手术路径,将接触性内镜引流导管经皮层送入脑干血肿腔,整个过程实时清晰呈现操作视野,术者在严密监护下稳步操作,成功抽吸血肿15毫升,整个手术过程顺利,未出现术中并发症。
术后复查头颅CT显示,王奶奶颅内引流管位置理想,脑干血肿清除效果满意,各穿刺道均无出血,手术达到预期效果。
更令人欣慰的是,术后王奶奶意识状态有所改善,评分从术前4分提升至5分,对痛刺激呈肢体屈曲反应,自主呼吸及瞳孔情况保持稳定,目前正接受进一步康复治疗。
张志文主任强调,
脑干出血治疗需遵循“控制出血、减轻脑水肿、保护脑干功能、预防并发症”原则:对于出血量<5毫升且病情较轻者,以卧床休息、控制血压、脱水降颅压等内科治疗为主;对于出血量≥5毫升的重症患者,可能需要外科干预,且手术方式已从风险大、难度高、并发症多的传统开颅手术,发展为神经内镜微创、机器人辅助穿刺等精准方式,能在解除血肿压迫的同时,最大程度减少脑组织损伤;待患者病情稳定后,还需尽早开展康复训练,以减少后遗症、提升生活质量。
“脑干出血是神经科最危急的重症之一,防治基础在于有效控制高血压。一旦发病,必须立即送往具备神经专科和ICU救治能力的医院,争分夺秒开展治疗,才能为患者争取更多生机。”
张志文说,此次机器人辅助全程可视化球囊引流导管脑干血肿抽吸术的成功实施,充分彰显上海四院神经外科在高难度神经外科手术领域的技术实力,为脑干血肿这类高难度、高风险疾病治疗提供更安全、精准的新方案,也为更多面临生命威胁的脑出血患者带来新的希望。
