极目新闻通讯员 胡梦 黎婉婷
基础疾病缠身、难以承受手术、无法耐受化疗,当癌症晚期患者遇到这些情况,该如何“绝地求生”?湖北省中医院(湖北中医药大学附属医院)胸心外科主任董永强团队已成功运用“支气管动脉化疗栓塞术”为多名中、晚期肺癌患者实施治疗,给他们带去了新的希望。
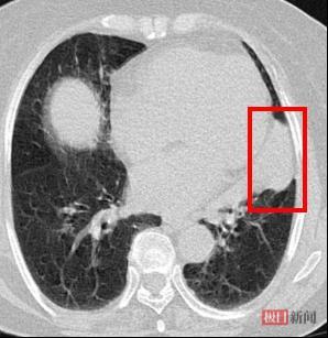
患者术前胸部CT
72岁的赵婆婆患有严重的心脏病,曾植入3个冠脉支架,还伴随有肾功能不全、慢性阻塞性肺疾病、肺气肿和间质性肺炎等。近期,赵婆婆因为长期胸闷去医院检查,发现左上肺有一个肿瘤,并最终通过支气管镜活检确诊为局部晚期的肺鳞状细胞癌。传统的手术切除风险极高,脆弱的心肺肾功能又无法承受全身静脉化疗,赵婆婆和家属心急如焚,多方打听后,慕名来到湖北省中医院(湖北中医药大学附属医院)胸心外科。
胸心外科主任董永强针对赵婆婆复杂的病情,组织了多学科专家会诊。经过缜密评估,专家们一致认为:支气管动脉灌注化疗联合微球栓塞是最适合赵婆婆的个性化治疗方案。
董永强介绍,这是一种“双管齐下”的精准打击策略。首先通过一根纤细的导管,在数字减影血管造影的实时透视导航下,插入为肺部肿瘤供血的支气管动脉分支,将高浓度的化疗药物直接“灌注”到肿瘤内部的核心区域。“这样可以大大延长药物在肿瘤局部的有效作用时间,显著提高了杀伤效率,同时避免了传统静脉化疗药物撒大网式地流遍全身。”董永强表示,精准灌注能有效减轻恶心、呕吐、脱发、骨髓抑制等化疗毒副作用。
在灌注化疗药物之后,医生会通过同一根导管,向肿瘤的供血动脉内注入特殊的微球栓塞剂。这些微球就像精准投放的“路障”,迅速堵塞肿瘤赖以生存的血管,切断血液和氧气供应。在“毒杀”与“饿杀”双重作用下,能显著缩小肿瘤体积,延缓肿瘤生长速度。
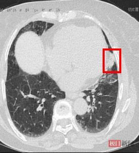
患者术后胸部CT可见瘤体明显缩小,肺不张好转
经过充分沟通,赵婆婆及家属同意接受治疗,董永强主任团队凭借精湛的介入技术和丰富的经验,在实时引导下,成功将导管超选至为肺部肿瘤供血的特定支气管动脉分支。高浓度的化疗药物被精准地输送到肿瘤内部,随即,微球栓塞剂被注入,有效阻断了肿瘤的血流。整个手术过程仅耗时约1小时,术中出血极少,术后只在赵婆婆大腿根部留下一个微小的2毫米针眼。
术后仅1周,长期困扰赵婆婆的胸闷症状就消失了。术后1个月复查胸部CT,赵婆婆肺部肿瘤体积显著缩小,因肿瘤压迫阻塞而塌陷的肺组织也基本复张了。
董永强表示,肺癌早期症状隐匿甚至没有症状。临床上,超过70%的患者在出现明显症状如咳嗽、咯血、胸痛、呼吸困难等就诊时,往往已发展到中晚期。“早期肺癌的5年生存率可以高达90%以上,而到了中晚期会骤降至20%左右。 这个巨大的生存率鸿沟,凸显了‘早发现、早诊断、早治疗’的极端重要性!”董永强建议,45岁以上人群,尤其是有吸烟史、肺癌家族史、长期接触粉尘或有害气体等高危因素的人群,应主动将低剂量螺旋CT纳入年度常规体检项目。这比传统的胸片能更早、更清晰地发现肺部微小结节,是提高肺癌早期检出率、挽救生命的最有效手段。
