潮新闻客户端 记者 隋雪 通讯员 莫明华 储梨
提起肿瘤,大家会自然联系到成人身上,但谁会想到天真无邪的孩子竟然也会得肿瘤。3岁男孩乐乐在一次普通就诊中,意外地发现了隐藏在身体里的“定时炸弹”。
医院供图
近日,3岁男孩乐乐因咳嗽、咳痰,来到杭州市临平区妇幼保健院儿科就诊,接诊的副主任医师陈立峰通过仔细查体及询问病史,得知乐乐已经咳嗽了近1个月,每次2~3声,不剧烈,但是有痰难以咳出,陈立峰凭借临床经验,高度怀疑乐乐存在肺部炎症,为精准诊断并最大限度减少辐射影响,建议进行低剂量肺部CT扫描。
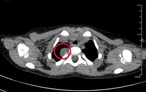
在儿童镇静中心的帮助下,乐乐顺利做了肺部CT,扫描结果清晰印证了肺部炎症的存在,放射科主任莫明华在阅片时,还敏锐地观察到乐乐CT图像上的异常:他的脊柱旁有一个大小约2.2*1.5cm的占位性病变。
占位性病变/医院供图
“幸好发现得早,为后续治疗赢得了宝贵先机。”莫明华介绍,对于无法准确表达的3岁孩子来说,若不是这次检查,往往很难发现体内肿瘤的存在,直到肿瘤逐渐长大后压迫周围器官,才会出现症状。
最终,乐乐确诊为“纵膈肿瘤”,经手术治疗后康复出院。
这么小的孩子,怎么会得肿瘤呢?陈立峰介绍,儿童患肿瘤是多种因素共同作用的结果。像遗传因素、基因突变,以及环境因素比如长期接触某些化学物质、接触辐射环境、某些病毒感染等,也可能诱发肿瘤。
那么,在儿童的日常照护中,家长们该如何早期识别儿童肿瘤呢?医生表示,如果孩子有以下这几个信号,要引起重视,及时就医:不明原因发热,正规治疗的同时,使用一般的退烧药无效,伴持续时间较长时;精神不佳、面色苍白、贫血、牙龈或鼻腔出血、皮肤黏膜瘀斑、瘀点等;食欲不佳、体重2周内明显下降、腹泻、呕吐、血尿等;身上出现异常皮疹,颈部或四肢、腹部异常包块伴活动困难及疼痛;出现不明原因头痛、呕吐、走路不稳、哭闹不止等,而家长又找不到原因;眼睛有视力障碍、斜视、眼球外突等情况;与同龄人比较有无发育迟缓、性早熟、智力低下等。
医院供图
“在乐乐纵膈肿瘤的发现过程中,低剂量肺部CT扫描立了大功,它比普通X光看得更细,能发现隐藏的肺炎、肺脓肿、支气管扩张等问题,还能帮助早期筛查肺部肿瘤,避免漏诊误诊。”
陈立峰表示,很多家长担心CT辐射大,其实现在的低剂量CT技术很先进,辐射量已经降到非常低,比传统CT减少了80%~90%。一次儿童低剂量肺部CT检查的有效剂量可控制在0.1~0.3毫西弗(mSv)左右。而乘坐飞机从北京到上海(约2小时飞行)接受的宇宙射线辐射约为0.02~0.05mSv。一次低剂量CT的辐射量,仅相当于进行几次这样的飞行旅行。如果普通X光看不清,或者医生怀疑孩子有复杂肺炎、支气管问题、先天肺部异常等,可能会建议做低剂量CT。一次检查就能提供详细结果,减少反复拍片的麻烦,让孩子少受罪。家长可以放心配合医生,帮助孩子早点发现问题,早点治疗。
