极目新闻通讯员 胡梦 万凌翔
近日,湖北省中医院(湖北中医药大学附属医院)光谷院区肺病科采用中西医结合疗法,成功救治两例气管切开合并重症肺炎的危重患者。
重症肺炎合并多耐药菌感染的患者成功脱险
28岁的张先生(化名)因脑干出血术后并发重症肺炎,在外院经历脑部开颅手术,术后气管切开处于机械辅助通气状态2个月,感染反复发作,难以封管。更棘手的是,肺泡灌洗液培养显示其感染了铜绿假单胞菌和多耐药鲍曼不动杆菌,这两种“超级细菌”对多数抗生素都具有耐药性。
“患者转入我院时情况非常危急,出现发热、呼吸困难,生命体征不稳定。”肺病科专科主任柯佳副主任医师回忆道,“血液检查显示白细胞计数高达14.59×10⁹/L,C反应蛋白150.41mg/L,降钙素原0.24ng/ml,胸部CT显示肺部感染严重。”
面对这一棘手病例,肺病科团队迅速制定了个性化治疗方案。一方面使用该院特色中药“宣白解毒汤”鼻饲以扶正祛邪,一方面结合现代医学手段,在7天内完成3次床边支气管镜+肺泡灌洗,精准清除气道分泌物。同时根据药敏试验及时调整抗生素方案。
令人欣喜的是,治疗一周后张先生炎症指标显著下降,10天后胸部CT显示肺炎明显好转,13天后成功拔除气管套管。后续通过系统的呼吸肌训练、吞咽功能训练等康复治疗,呼吸功能稳定,19天后顺利出院。
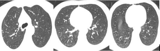
张先生入院治疗前胸部CT
张先生入院治疗后胸部CT
中西医结合解决气管新生物封管难题
67岁的李女士(化名)长期受高血压、脑梗死后遗症困扰,需要持续气管切开维持呼吸。更严重的是,她的气管内出现了肉芽样新生物,反复阻塞气道,且李女士自身咯痰能力差,导致肺部感染反复且加重。
“这类患者往往陷入‘感染-治疗-再感染’的恶性循环。”柯佳介绍,“我们采用‘中药清热化痰、益气健脾+气道介入+呼吸康复’的综合方案,通过支气管镜下灌洗清除分泌物,氩气刀联合冷冻消融,彻底清除气道新生物,且创口愈合时间缩短50%,术后患者恢复通气。”
经过26天的精心治疗,李女士终于成功封管,呼吸功能得到显著改善,现已转入康复科进行神经功能训练。
切除的气管内新生物组织
柯佳介绍,重症肺炎在长期气管切开的老年人和免疫力低下患者中死亡率极高。随着抗生素耐药性问题日益严峻,传统治疗手段面临巨大挑战。团队充分发挥中医药的特色优势,全程中医药干预,使用了陈刚教授的经验方——“宣白解毒汤”,并在多年的临床实践中将其拓展应用到多耐药肺炎的救治中。“我们还结合现代呼吸介入技术和肺康复技术,形成了一套独特的中西医结合治疗方案。这套中西医结合治疗方案已成功救治20余例同类患者。未来将持续探索中西医协作模式,提升急危重症救治水平。”
