极目新闻通讯员 黄兵 宁亚飞
近期,武汉大学人民医院(湖北省人民医院)心血管医院帮助2位八旬老人攻克“心门危机”,实施超高龄高危心脏瓣膜病介入治疗:为80岁二尖瓣前瓣脱垂致重度关闭不全患者行经导管二尖瓣置换术,为84岁二尖瓣前后瓣对合错位致重度关闭不全患者行经导管二尖瓣缘对缘修复术。两例重度心衰(心功能极差)超高龄患者的成功救治,标志着该院在超高龄心脏瓣膜病介入治疗领域取得关键突破。
八旬超高龄遇上“崩溃心门”,传统治疗陷困局
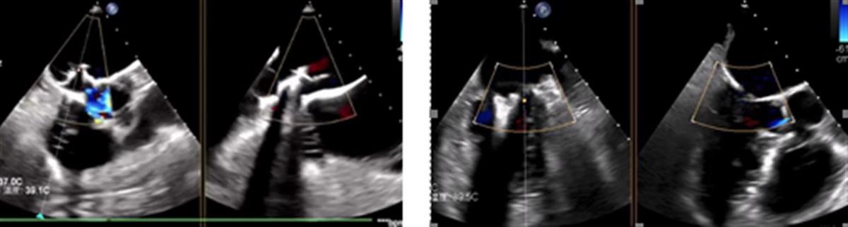
近期,80岁的胡奶奶夜间睡觉犯了难,常出现阵发性呼吸困难、无法平卧、双下肢水肿等症状,多次外院治疗后效果欠佳,转入武汉大学人民医院心血管医院心脏特需医疗科。完善食管超声心动图评估提示:二尖瓣重度关闭不全,合并双房大、升主动脉扩张及主动脉瓣轻-中度关闭不全。
84岁杨奶奶也长期受夜间阵发性呼吸困难困扰,就诊于外院行药物治疗后效果欠佳,走投无路的她求助于武汉大学人民医院心血管医院心脏特需医疗科。完善相关检查后提示:二尖瓣前瓣脱垂致重度关闭不全,合并肺动脉压轻度升高。
胡奶奶(左图)、杨奶奶(右图)术前心超提示二尖瓣重度关闭不全
MDT团队聚焦“破局之道”,制定“心门修复方案”
由武汉大学人民医院心血管医院院长江洪教授、余锂镭教授领衔的心脏结构修复中心聚焦多学科联合诊疗模式,联合超声科主任周青教授团队,麻醉科主任夏中元教授、李维教授团队,心脏特需医疗科主任周晓亚主任医师、心脏结构病科负责人黄兵主任医师团队,以及心外科团队组建MDT团队。
专家团队多次对2位心功能储备极差的超高龄患者行系统化病情讨论及充分评估,制定个性化治疗方案:针对胡奶奶房性二尖瓣关闭不全合并瓣环扩张明显、瓣叶对合不良的特点,采用经导管二尖瓣置换术进行人工瓣膜功能重建;而对于杨奶奶的瓣叶脱垂问题,则通过经导管二尖瓣缘对缘修复术实施瓣叶解剖结构精准修复。
技术突破,双术式攻克“心门危机”

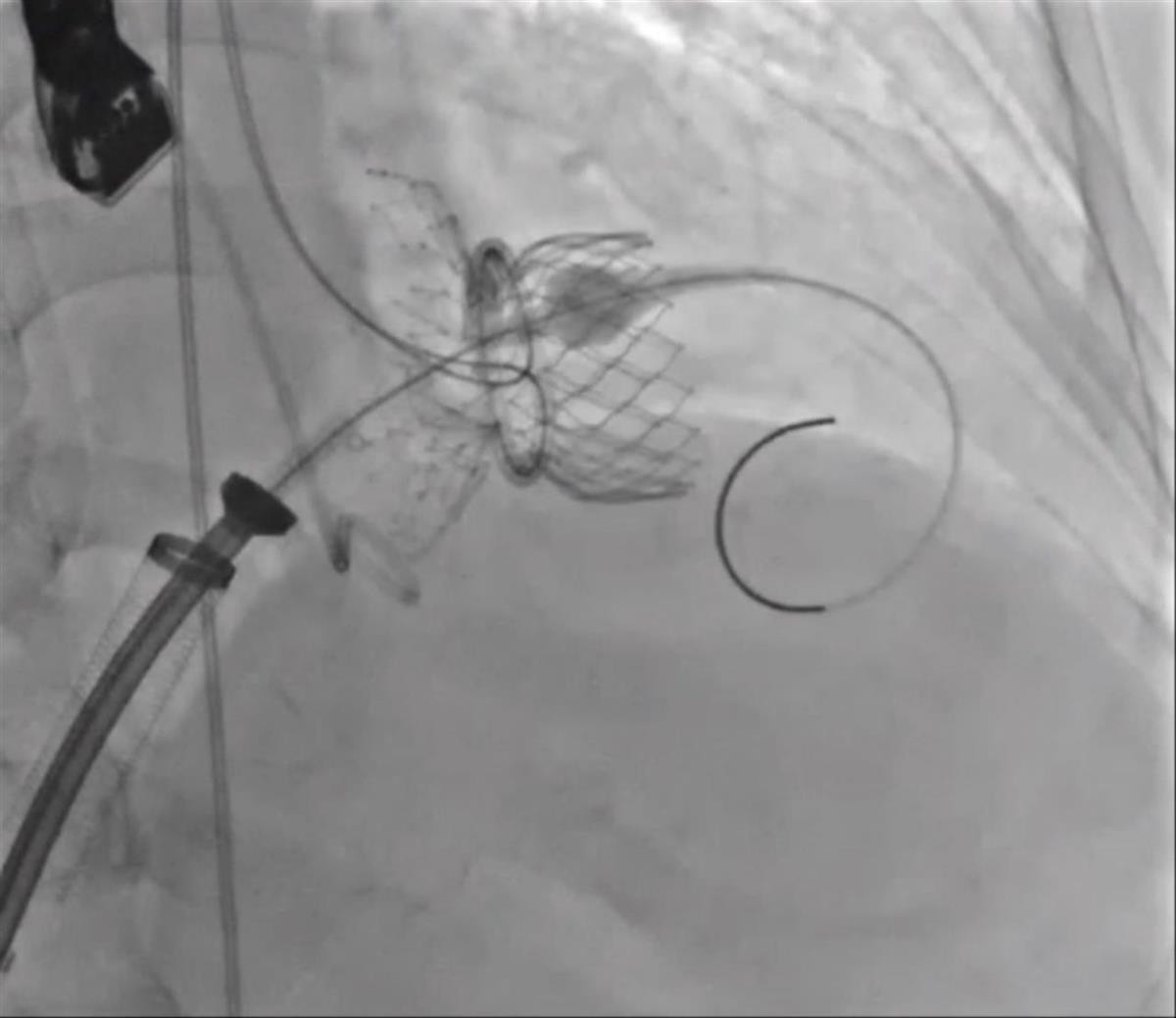
近期,心血管医院医师团队为胡奶奶实施经导管二尖瓣置换术。手术通过患者桡动脉建立主动脉根部监测,经左股动脉路径行二尖瓣闭合成环,经右股静脉行房间隔穿刺建立瓣膜输送轨道,在造影及三维超声融合引导下完成人工瓣膜精准锚定与释放。
经导管二尖瓣置换术术中
专家团队为杨奶奶实施经导管二尖瓣缘对缘修复术,采用双夹合器序贯植入策略,通过解剖适配性夹合实现瓣叶脱垂区完全消除,最终使二尖瓣反流量由重度(4+)降至微量(1+)。
经导管二尖瓣缘对缘修复术术中
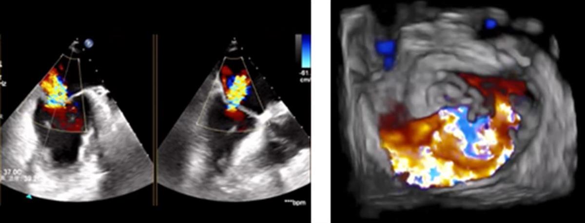
两例高难度介入治疗均在1小时左右安全精准完成,多模态影像评估显示瓣膜功能完好,无瓣周漏及功能障碍。
术后心超提示二尖瓣反流均基本消失
周晓亚主任介绍,经导管微创(不开刀)二尖瓣置换术及二尖瓣缘对缘修复术突破了传统外科开放性手术的年龄限制,尤其适用于心功能差、合并症多、外科高危的超高龄患者。术后,患者胸闷、憋气症状即刻缓解,当夜即可平卧入眠,24小时内实现自主离床活动,生活质量实现跨越式提升。
胡奶奶(左三)赠送专家锦旗
杨奶奶(左四)术后活动自如
介入诊疗技术层级跨越,微创治疗提供“新途径”
二尖瓣是心脏左心房与左心室间的“单向阀门”,当其发生关闭不全时,心脏收缩期血液会异常反流至左心房,引发持续性左房高压。这种进行性加重的血流动力学紊乱,早期表现为活动后气促、夜间阵发性呼吸困难(如平卧咳嗽、憋醒),随病程进展可迅速恶化至静息呼吸困难、端坐呼吸、下肢凹陷性水肿等典型心衰症状,显著增加恶性心律失常与心源性猝死风险。黄兵主任医师提醒:出现早期胸闷、夜间呼吸不畅等症状时,请及时至专科门诊评估,排查潜在心脏瓣膜病可能。
此类手术的成功得益于以国家级重点学科为主体组建的武汉大学人民医院心血管医院在心血管急危重症救治领域精、准、快的强劲实力,标志着结构性心脏病微创(不开刀)介入诊疗体系实现技术层级跨越,更为超高龄心脏瓣膜病患友提供了微创治疗新途径。
武汉大学人民医院(湖北省人民医院)心血管医院以微创介入技术为核心,常规开展心脏瓣膜病及先天性心脏病的成熟介入治疗方案。中心创新构建多学科协作诊疗体系,汇聚心脏介入团队、影像团队、麻醉团队、专科护理团队、心脏康复团队及随访管理团队,形成贯穿“门诊精准评估→个体化手术规划→围术期精细护理→术后心肺康复→健康随访管理”的诊疗闭环。通过建立从疾病治疗到功能重建的全周期管理模式,实现医疗流程的标准化、诊疗方案的精准化及健康管理的全程化,为患友提供科学规范、以健康为中心的优质医疗服务。
(图片由武汉大学人民医院提供)
