极目新闻通讯员 官笑涵
“手术就十几分钟,孩子也不遭罪!”3月30日,在武汉儿童医院/武汉市妇幼保健院,专家团队用一根细针帮5岁男孩消灭了乒乓球大小的肾囊肿,当天留观结束后就能回家。
一年多前,5岁男孩浩浩(化名)因发烧、呕吐在家附近的医院就诊,偶然查出他的右肾上长了一个小囊肿。因为囊肿只有20毫米,且并未引发腹痛、血尿等症状,医生就没有进行特殊处理,只嘱咐家长定期复查。
“去年一整年,这个囊肿都挺‘安分’的,可半个月前复查时,囊肿却长到了乒乓球大小。”浩浩妈妈回忆,当时的超声及CT检查结果提示,孩子的囊肿达到BosniakII级,大小约45×40毫米,因为担心囊肿继续增大影响健康,一家人赶紧来到武汉儿童医院泌尿外科就诊。
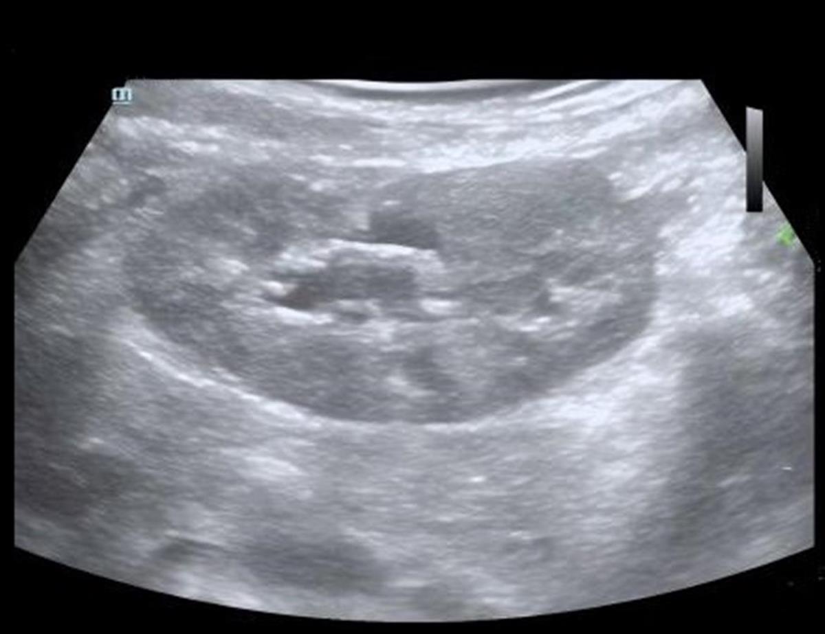
术前超声检查结果(红圈内为囊肿)
该科主任医师陈海涛解释,浩浩这种情况,与其做传统的外科手术,不如选择微创介入方法。经过他的“指路”,一家人找到超声影像科主任医师王少特就诊。
3月30日,王少特为浩浩进行了超声介入下儿童肾囊肿造影术及穿刺术。在超声引导下,他很快“锁定”囊肿位置,用一根细针穿刺后抽取囊液,完全抽净后,再用生理盐水冲洗囊壁,直至冲洗液完全清亮,然后注射硬化剂防止囊肿复发。手术仅15分钟,浩浩全程状态平稳,无特殊不适,留院观察12小时后就能回家。
术后超声影像图
“肾囊肿可以理解为肾脏上长了一个‘水泡’,是一种比较常见的结构异常,”武汉市妇幼保健院超声影像科主任医师王少特介绍,对于直径小于40mm的囊肿,可以定期复查,但若囊肿过大,对周围脏器造成压迫,出现腰腹疼痛、肾积水等临床症状,则需要及时治疗。
他介绍,与传统开放手术、腹腔镜手术相比,介入超声治疗肾囊肿操作简便、安全,手术过程中能实时观察,一般来说,对于囊肿直径大于40毫米且与肾盂集合系统不相通的患者来说,适用于这一手术方式,痛苦小、恢复快、并发症少。治疗后遵医嘱随访、定期体检,大多数患者都能获得良好的预后。
