近期,流感高发,据中国疾控中心最新数据,目前流感病毒阳性率持续上升,其中99%以上为甲流。全国多地疾控提示要做好个人防护,注意防范呼吸道、肠道传染病。医生提醒,感染后要及早治疗,当心“熬”成肺炎。
一家6口出游,5人感染甲流
据浙大二院消息,在发热门诊里,有患者家庭一行6人出游,结果5人都感染了甲流。
凌晨1点,浙大二院发热门诊来了一位50多岁的李阿姨(化名)。
“我们一大家子一周前去旅游了,到那第二天就开始发热咳嗽喉咙痛,全身肌肉也连带着酸痛,买了个体温计量一量,最高的时候在39℃以上。硬扛了几天,前天实在是顶不住了,去了当地一家医院查了胸片,查出来说是肺炎,建议我住院。我听着吓坏了,赶紧坐飞机回来看病了。”李阿姨拿出来一张胸片报告,上面写着“左下肺炎”。
接诊的庞医生了解到,李阿姨在当地接受了一些治疗,但体温仍居高不下。家中同行的6个人,有5个人都先后发烧了。庞医生判断,李阿姨大概率是得了传染性较强的呼吸道疾病,立即给她安排了血常规、相关病毒抗原检测,以及更清晰的肺部CT检查,以便进一步了解病情。
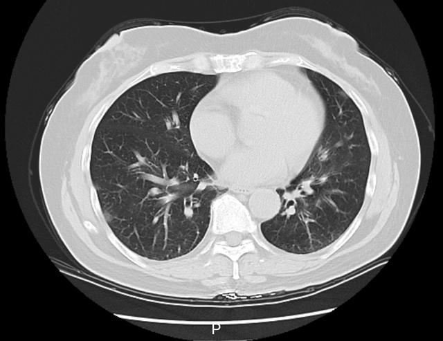
李阿姨肺部CT影像
检测结果显示,李阿姨已经得了病毒性肺炎,甲型流感病毒核酸呈阳性。这一下,罪魁祸首找到了,是甲流搞砸了这一家人一次本该圆满的旅行。
发热门诊医生立即给她用上了玛巴洛沙韦抗病毒。不出2天,李阿姨的体温恢复了正常,咳嗽咽痛等症状也有了明显好转。
医生提醒:谨防拖成肺炎
据浙大二院6日消息,2025年1月初,浙大二院发热门诊接诊量为2024年12月初的4-5倍,流感样病例(体温≥38℃,伴咳嗽或咽痛之一的患者)的甲流阳性率高于三成。
一旦出现甲流症状,建议早期(发病48小时内)及时使用抗病毒药物治疗,可以减缓症状,缩短病程。前文中的李阿姨如能在发病早期进行抗病毒治疗,应该也不至于发展成肺炎。
流感的常见检测方法有两种:流感病毒抗原检测和流感病毒核酸检测,抗原检测速度快,但敏感性低于核酸检测;抗原阳性可以诊断流感,但阴性不能排除流感;病毒核酸检测的特异性和敏感性都很高。
感染甲流后有哪些症状?
感染甲流后的主要表现为突然的高热,常有咳嗽、咽喉痛、鼻塞、流涕等呼吸道症状,伴有头痛、肌肉酸痛等全身不适,部分患者会出现胃肠道不适感。
头疼、胃疼、关节疼......
为什么感染甲流会这么疼?
说到甲流让人印象最为深刻的,莫过于疼!特别疼!不仅可能出现喉疼、头疼、肌肉疼、关节疼……有人形容,得了甲流,就像是全身每一个地方都被人像毛巾一样拧起来,疼得每一寸都在受刑!
为什么甲流会让人这么疼呢?这可以说“冤枉”了甲流病毒,又没有全冤上。
因为疼痛不是直接由甲流病毒引起的,而是人体被病毒感染时,会产生免疫反应,释放抗体来攻击病毒,阻止病毒进一步传播。这些蛋白质,既阻止了病毒在体内传播,但同时也引起了身体内的炎症反应,炎症才是造成疼痛的主要原因。在炎症发生时,白细胞会产生细胞因子(用于细胞信号传导的小蛋白质),这会导致肌肉和关节发生炎症,并因此产生显著的疼痛。
现在打疫苗还来得及吗?
在面对流感的挑战中,一定要知道「预防胜于治疗」。预防流感的最好方式:打疫苗!打疫苗!打疫苗!打疫苗……
虽然建议在10月底之前完成流感疫苗接种,现在都已经1月多了,那现在接种会迟吗?
当然越早接种疫苗,保护效果越好。虽然晚了一些,依然建议现在去打。主要原因是,流感的流行高峰通常集中在11月底至次年2月,今年的流感高峰较往年有所推迟,现在接种,说不定也能预防你在未来一段时间的感染,因此接种疫苗仍能发挥保护作用。
即使现在接种,也能降低感染流感的风险。接种疫苗可以有效减少感染几率,并降低发生严重并发症的可能性。无论何时接种,有保护总比没有保护更安全。
那如果今年已经感染了,还需要再去接种吗?要的,虽然现在甲流感染占主流地位,但事实上,每年有多种流感病毒毒株同时流行,科学家很难准确预测哪些毒株会占主导地位。即使今年已经感染过流感,但如果你今年未接种过流感疫苗,仍有可能受到疫苗中不同亚型病毒刺激所产生的抗体保护。
现在的疫苗主要有三种:
·流感减毒活疫苗:起效快、保护久、疼痛少
·流感灭活(亚单位)疫苗:不良反应少、不差钱可以打
·流感灭活(裂解)疫苗:物美价廉、性价比高
来源:新闻晨报、浙大二院、科普中国
