孩子腹痛、呕吐本来应该是常见症状
但有一种情况
家长如果忽视就有可能酿成悲剧
近日,深圳坪山区妇幼保健院小儿外科团队连续成功救治了两名“肠扭转”急症患儿,医生称:“胆汁性呕吐(呈黄绿色)伴随突发剧烈腹痛”,是肠扭转的最高级别警报,必须立即送医。
胆汁性呕吐+突发剧痛
家长紧急送医
4岁的乐乐(化名)在饭后玩耍时突然大喊“肚子疼”。起初,母亲张女士以为是普通胃肠炎,没有引起重视。然而,乐乐的病情迅速加重,发展为剧烈腹痛,并频繁吐出黄绿色的呕吐物,很快面色苍白、精神萎靡。当晚张女士紧急就带着乐乐去了医院。
深圳市坪山区妇幼保健院医师
小儿外科主任 张镟
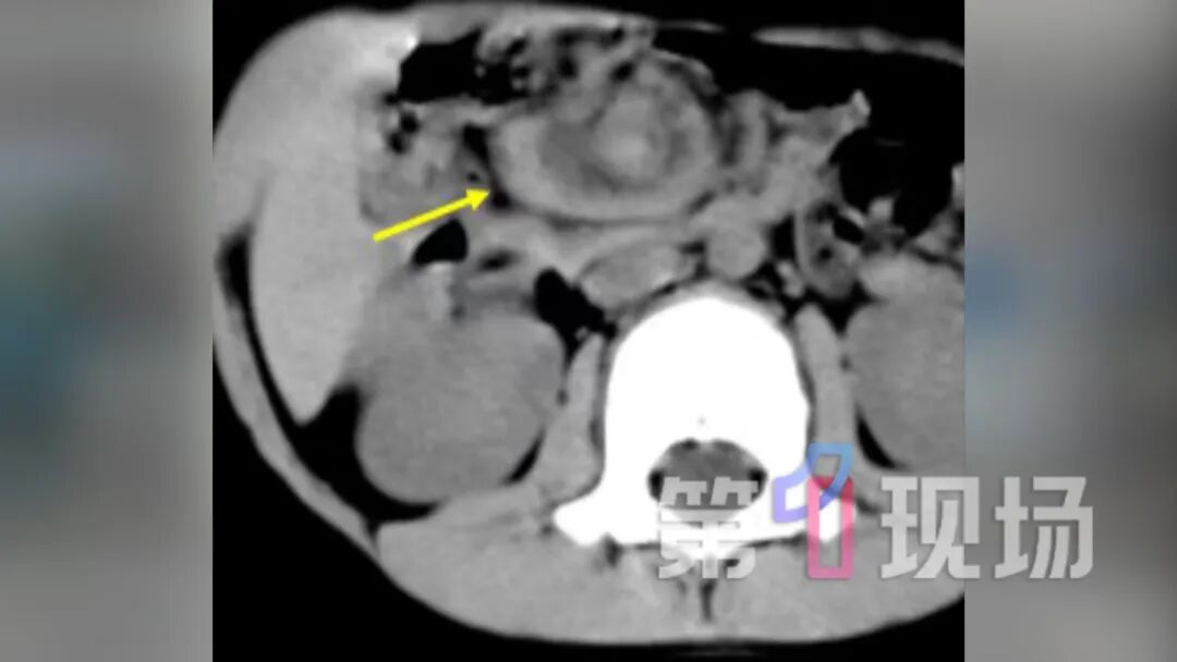
我们高度怀疑他是小肠扭转的情况。 CT做完后,当天晚上12点我们就把患者送到手术室做了腹腔镜的探查,证实了他是先天性肠旋转不良,伴有中肠扭转了720度,相当于肠子转了两圈。
医疗团队争分夺秒为乐乐实施了急诊腹腔镜微创手术。手术中发现,乐乐的肠管及供应血管拧了一个“大麻花”。万幸,家属送医相对及时,经过手术和精心的护理,乐乐的肠管得以保住,后续已顺利康复出院。
对于短时间只是出现了扭转被发现了,还没有出现腹膜炎的体征以及大一点的孩子,比如婴儿期、儿童期这样的病人,我们会主张用腹腔镜来做探查。同时在条件允许的情况下,在腹腔镜下给他做肠扭转的复位,以及肠梗阻的松解。
经过张镟医生和张女士的沟通,目前乐乐回家后的情况良好,排泄保持畅通顺利。
新生儿严重黄疸
小肠扭转了360°
乐乐的情况并不是个例,张医生在接受采访时表示,近日还有类似情况的患者来就诊。
刚刚出生不到24小时,皮肤黄疸就很厉害。基于此,我们就给他收到病区里面去观察照蓝光,第二天发现进食后出现了剧烈的呕吐,接下来甚至到排血便。这时候我们就意识到,这个孩子可能是先天性的肠管发育异常。
张医生提醒,肠扭转的预后完全取决于从发生到手术解除的时间,所以无论孩子年龄大小,“胆汁性呕吐 + 突发剧烈腹痛” 这一组合症状的出现,就是最高级别的警报,是立即前往医院急诊的唯一指令。
同时,如果孩子长期发育不良,偶尔有呕吐的情况出现,医生也建议及时带到医院做相关检查,早干预早治疗。
你可能没听过 “肠扭转”
但它是普外科急症前三
死亡率高达30%
儿童会更高!
肠扭转是一种先天性消化道畸形。
是胎儿时期肠道在腹腔内“安家"的过程中,旋转和固定的步骤没有完全到位,并留下了一片容易引起肠梗阻的“韧带"(Ladd韧带)。这种位置异常及压迫,它就像一颗埋在体内的“种子"可能在出生后任何阶段被“激活"。
简单来说,就是全部小肠及根部血管像“拧麻花”一样发生扭转,导致肠管缺血坏死,肠穿孔引发腹膜炎危及生命。
这些信号出现!
必须立刻就医!
孩子出现呕吐,如果单纯吃多了或者吃坏东西、着凉等,不是太大问题。
但是,家长们一定要注意观察,如果孩子一旦出现以下这些症状,就应该及时就医。
1.突发剧烈腹痛。通常为急骤发作的持续性剧烈腹痛或哭闹不安,可伴有阵发性加重,休息后腹痛无明显缓解。
2.黄绿色呕吐物。呕吐物出现黄绿色通常是胆汁反流至胃内并随呕吐排出的表现。
胆汁性呕吐是肠旋转不良的典型信号,呕吐物开始为未消化的食物或胆汁(呈黄绿色)。
3.便血。出现便血则意味着肠道黏膜已因严重缺血出现损伤,和胆汁性呕吐相继出现时,是严重危机警告,必须分秒必争。
肠扭转虽然后果严重
但可防可治
若孩子出现上述症状
谨记立刻送医
部分来源丨深圳市坪山区妇幼保健院
第一现场记者丨余诗琳
