据媒体报道,
日本一乐队的主唱歌手樱井敦司
近日在演唱会唱到一半时,
突然身体不适,
紧急送往医院抢救后宣告死亡。
所属经纪公司10月24日发出声明,
证实樱井敦司因脑干出血去世,
享年57岁。
樱井敦司
唱到高音部分突感身体不适
被紧急送医后当晚去世
据报道,樱井敦司是19日参加演唱会时遭遇不幸的,当时他唱到高音部分,突然觉得身体不舒服,后被送往医院急救,当晚宣告不治。
尊重家属意愿,樱井敦司的丧礼不公开,仅邀请近亲。经纪公司的声明中还表示,今年是樱井敦司所在乐队出道第35年,想不到樱井敦司忽然病逝,“这件事发生得太突然,我们仍然感到难以置信和困惑,成员和工作人员都用无法用语言表达深深的悲伤”。
樱井敦司出生于日本群马县藤冈市,是Buck-Tick--日本视觉系老牌乐队的主唱歌手。这支乐队在1985年创建,成员还包括吉他手今井寿、星野英彦,贝司手樋口豊和鼓手YAGAMIDORU,在日本红极一时。
年轻时的樱井敦司
警惕!此前已有多起类似案例
唱歌会导致脑出血等问题吗?
其实这样的事情经常见诸媒体
1
女子飙了一首《青藏高原》
脑动脉瘤爆了
据媒体2020年7月报道,
辽宁大连的张女士
有一副好嗓子,
平时唱歌飙高音是拿手好戏
没想到的是
因为唱了一首飙高音的《青藏高原》,
张女士差点丢了性命……
张女士告诉记者,她喜欢唱歌,尤其擅长唱高音。她和朋友们一起聚餐唱歌时,第三首歌就选了《青藏高原》,没想到,唱到最高音时,她突然头疼欲裂,还伴有恶心、呕吐,被家人紧急送到了医院。
张女士首先在急诊做了一个脑CT,医生一看是蛛网膜下腔出血。检查发现,张女士蛛网膜下腔出血的原因是脑动脉瘤破裂。
经过两个小时的紧张手术,破裂的动脉瘤被妥善处置,转危为安。
医生表示,情绪激动、用力过猛,剧烈兴奋,悲伤可能会诱发动脉瘤的破裂。“动脉瘤一旦破裂,有三分之一的死亡率,如果没有及时治疗,二次破裂会有三分之二的死亡率,所以说它是一个非常危险的疾病。”
医生称,唱高音对脑部冲击大,建议张女士唱些舒缓的歌曲。
2
唱了一首《凉凉》
女大学生脑出血险丧命
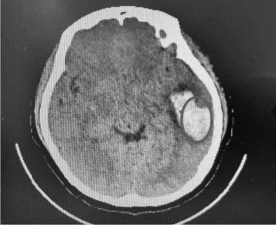
此前,河南一女大学生欢欢(化名)和朋友在KTV唱完一曲《凉凉》之后,感觉到恶心、呕吐、头晕头痛后,被送往医院,经检查后发现为脑出血。
2019年6月18日上午,在郑州大学第一附属医院郑东院区急诊抢救室,20岁的欢欢躺在病床上。虽然入院已经超过36小时,但医生称她还处于危险期。
患者的脑部检查结果
“出血量比较大,有近30毫升。如果未及时就医,后果不堪设想。”医生说,欢欢虽然年纪比较小,症状表现比较轻,但也不能大意。
3
男子KTV飙高音
一不小心肺“爆”了
◆2015年1月的一天,湖南长沙喜欢“飙高音”的李先生和朋友在KTV唱到凌晨才回家。
当晚李先生感觉胸口不适,以为是自己喝多了酒,并未在意。第二天早上,李先生像往常一样到小区花园散步,胸口出现针刺一样的痛感,家人急忙把他送到医院。经开胸手术后才保住性命。
专家诊断,是肺大疱破裂引发了气胸。
“患者入院时呼吸、讲话都很困难,检查发现其左肺已压缩了60%以上,心脏已受压移位,若不及时处理,很可能会危及生命。”医生说。
4
女白领KTV里连飙高音
唱破腹中肿瘤险丢命
湖北武汉的李女士是一家公司高管,工作很忙。2014年5月,李女士难得早下班一次,就约上几位好友一起K歌。她点了几首自己最擅长的高难度歌曲,连续飙高音。
谁知才两首唱罢,她突然瘫倒在地。朋友们见她脸色蜡黄,手捂胸口,表情痛苦还冷汗直冒,全都吓得够呛,大家慌忙把她送到医院。
CT检查发现,李女士肝脏右前叶有个14厘米×10厘米的巨块型肿瘤,与婴儿脑袋大小相近。最可怕的是,肿瘤已经破裂。
“这个肿瘤位于右肝,已经侵犯到膈肌。肿瘤的个头长大后,一直受膈肌的压迫束缚,本已经处于随时会破裂的边缘。李女士唱高音时很用力,腹腔压力突然升高,从而让肿瘤破裂。”该院肝胆胰外科主任李明杰教授分析。
万幸, 经过4个小时的手术后,李女士的肿瘤被切除干净。
提醒:
唱歌时出现这些症状请立即就医
专家表示,非经专业训练的人在唱歌飙高音时,往往血压会急剧升高,尤其是高血压患者,如果血压超过血管壁所能承受的压力时,血管就会破裂出血,形成脑出血,即使是很少量的出血,都会引起严重后果,甚至危及生命。
医生建议,中老年人最好别唱太激烈的歌曲,也要避免情绪激动。
专家提醒,如果唱歌时突然出现头痛、眩晕、恶心、呕吐,以及一侧肢体偏瘫、口角歪斜等症状时,需立即就医,以免耽误了病情造成严重后果。
看来高音不是你想飙就能飙,
“麦霸”一定要小心啦!
