6月的一个凌晨,广州市第十二人民医院(以下简称“市十二医院”)接到来自花都一家派出所的电话——一名男子在3个小时前服下大剂量百草枯,现希望紧急转入市十二医院救治。“患者转入我院时,除了不断吐出墨绿色的胃内容物外,还出现了全身抽搐等症状。”入院后40分钟,市十二医院中毒救治中心副主任医师陈育全紧急为其施以血液净化治疗,为其清除体内毒物。如今,经过29个昼夜的鏖战,这名服下超致死量20倍的百草枯中毒患者成功获救。
陈育全介绍,入院首日,患者症状持续恶化,逐渐出现了胸闷、气短、呼吸困难等不适。市十二医院毒物检测中心报告显示,血液检测结果为“农药之王”——百草枯,尿中的百草枯浓度高达15125.3ug/L。
据相关文献,百草枯成人致死量为20%水溶液5-15毫升(20-40mg/kg)。服下超致死量20倍的百草枯农药,对患者及家属来说是一场噩梦,对救治团队也是一场巨大的考验,治疗难度不言而喻。
中毒后数日,在百草枯炎症风暴下,患者出现肝脏、肾脏等多脏器功能严重损伤。患者双肺出现了明显渗出,胸腔积液,导致双肺膨胀不全,具体表现为患者呼吸困难,血氧饱和度仅维持在90%,病情逐渐加重进展。
“这仅仅是开始,按照经验,急性百草枯中毒的损伤高峰期往往在发病后2至3周。”陈育全说。
血液净化是清除患者体内毒物的唯一方法也是唯一希望。在救治团队精准治疗方案下,毒物监测提示病人体内毒物含量逐步下降。7月15日,患者血清百草枯定量已经小于20ug/L,肝肾脏器功能损伤得到明显控制。
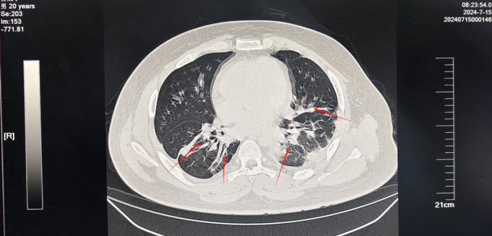
然而,患者双肺损伤不容乐观,胸部CT显示在胸腔积液的基础上,部分出现纤维化。
市十二医院中毒救治中心主任、主任医师杨志前明确表示,百草枯中毒无特效解药,密切监测病情和丰富救治经验是救治成功的关键。
作为患者的主治医师,陈育全每天密切观察监测,并及时调整治疗方案,同时安抚患者情绪,终于“守得云开见明月”——患者从少尿期进入了多尿期,肾功能保住了,肝功能也逐渐恢复!
治疗4周后,胸部CT检查显示,患者双肺损伤无再进展,反而渗出得到了吸收,左侧胸腔积液明显减少,至此,中毒得到有效控制,医护人员与患者共同鏖战29天,迎来了“重生”。
据悉,患者目前已顺利出院,将继续在市十二医院门诊随诊并接受康复治疗。
患者出院后,派出所相关人员及患者家属给救治团队送上锦旗。
