极目新闻记者 晏雯
通讯员 胡梦
72岁的阳婆婆,在洗漱时发现自己左侧颈部有个包块。后来阳婆婆出现了说话声音变低、活动时憋气,无法平躺、吞咽不下等症状,在当地医院就诊,发现是甲状腺包块压迫导致的,并建议她手术治疗。但家属担心阳婆婆手术不能耐受,便来到了湖北省中医院(湖北中医药大学附属医院)甲状腺疾病诊疗中心就诊。
接诊的陈继东教授仔细询问了阳婆婆病情,甲状腺包块已经压迫声带、气管及食管,她还患有高血压病、糖尿病、冠心病等基础疾病,建议她住院行中西医结合保守治疗。
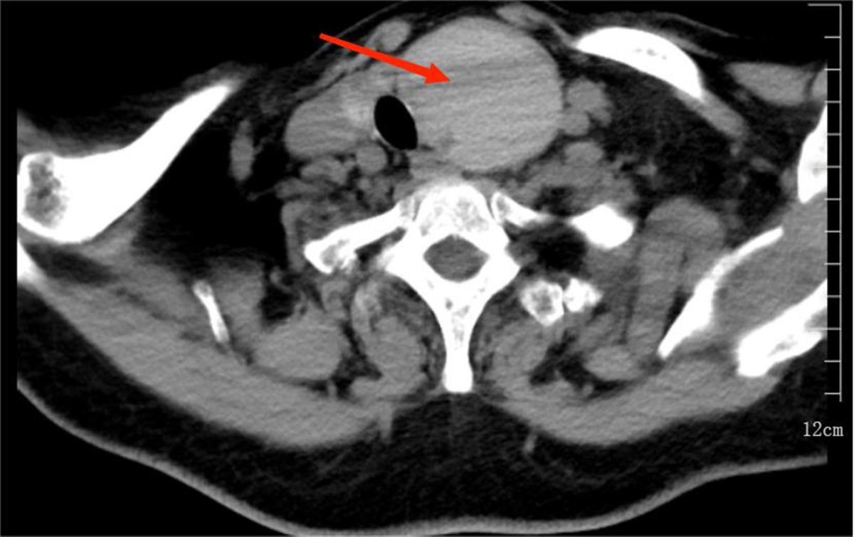
阳婆婆在湖北省中医院进行甲状腺超声造影评估,显示其甲状腺左侧有个约6.2*5.2*3.7厘米的囊性结节,压迫了气管,导致了阳婆婆一系列痛苦的症状。
阳婆婆颈部的囊性结节(通讯员供图)
管床医生赵勇主治医师紧急联系超声影像科主任技师鄢薇,采取了超声引导下经皮化学消融治疗。抽取婆婆的囊性结节里的液体,并反复冲洗,再注射无水酒精精准使囊腔硬化,30分钟以内就完成了治疗。治疗结束后,阳婆婆感觉自己一下子轻松了:“脖子轻松了,呼吸顺畅了,也能说得出话来了!”
据悉,湖北省中医院甲状腺疾病诊疗中心开展超声引导下经皮甲状腺治疗包括局部注射、化学消融、热消融。目前同时开展以上治疗方式的医院并不多,湖北省中医院采取多学科协作、中西医结合的诊疗模式,在满足甲状腺疾病诊疗需求的同时,还具有简、便、廉、验的优势。
局部注射:通过糖皮质激素的免疫抑制、抗炎作用,适用于亚急性甲状腺炎、桥本甲状腺炎、Graves病,能够有效调节患者自身抗体(TGAb、TPOAb、TRAb)水平,缩小甲状腺体积,从而达到减少Graves病复发,有效缓解复发性亚急性甲状腺炎或口服糖尿病激素依赖型亚急性甲状腺炎,减轻桥本甲状腺炎甲状腺硬度、预防出现甲状腺功能减退等效果。
热消融:有射频消融、微波消融、激光消融及高强度聚焦超声等方法。湖北省中医院采用的是微波消融,微波电磁波的短时间内产生高温,当消融电极在超声引导下植入甲状腺结节内后,细胞蛋白质在高温条件下变性凝固坏死,最终逐渐被机体吸收,从而使甲状腺结节体积缩小。
化学消融:主要是针对甲状腺囊性或囊性为主的甲状腺结节,先抽液缩小囊性体积,随即注射聚桂醇、无水酒精、消痔灵等药物,使囊腔细胞脱水和蛋白质凝固变性坏死,从而破坏囊壁细胞的分泌功能,阻断瘤体供血,促使结节囊腔粘连闭合,最终使甲状腺结节体积缩小。
陈继东表示,超声引导下经皮化学消融治疗适用于甲状腺囊肿和囊性成分大于90%的甲状腺结节患者,具有疗效确切、精准安全、颈部无瘢痕、并发症发生率低、保留甲状腺功能、花费较少等优势,后续将应用中医药内外结合的方法巩固治疗,避免复发。
