极目新闻记者 郑晶晶
通讯员 陈晶 江向群 魏星
怀孕12周左右的许女士日前突然出现腹胀的情况,紧急就医后,经过检查被发现原来患上了绒毛膜下血肿、先兆流产,幸经及时救治后转危为安。医生详细询问后才知道,这竟跟她锻炼过量密不可分。
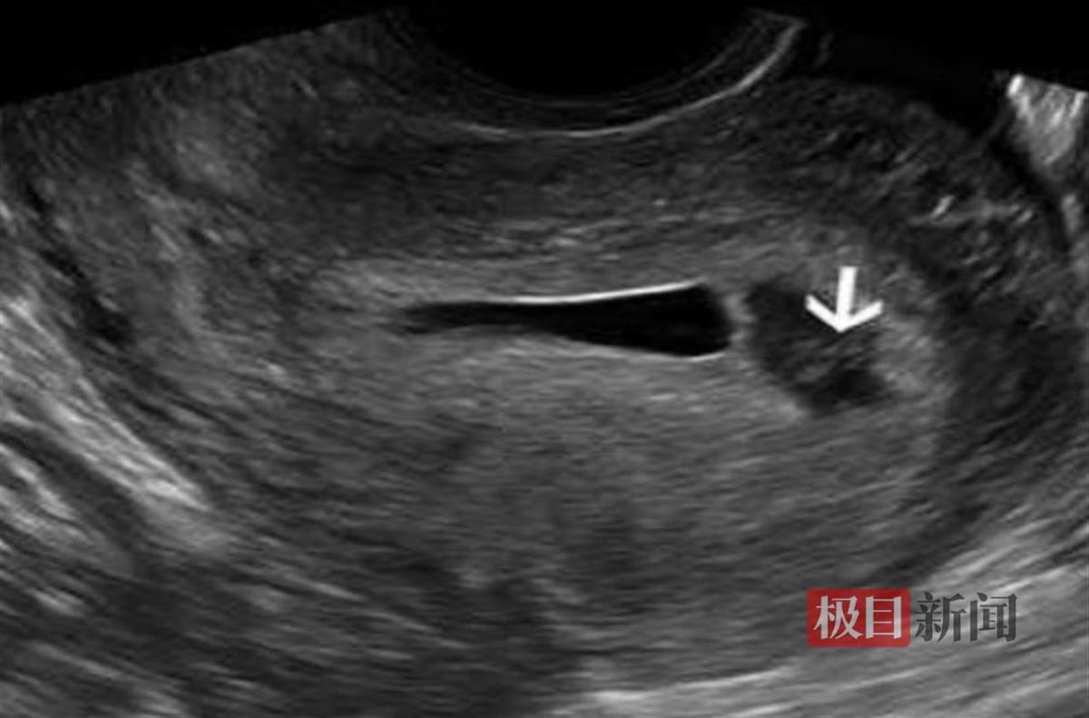
许女士今年38岁,怀孕后,很注意自己的孕期营养,如今她已怀孕12周左右,体重增加了不少,走路都有点喘气。她上网查询得知,可以通过做瑜伽来控制体重的增长,为此,许女士做起了瑜伽,刚开始运动了两天,她没看到什么效果,体重仍然增加得很快,于是许女士增加了训练强度。日前,她因为腹胀急诊,被送到武汉市汉口医院,妇产科医生会诊后表示,患者需要住院治疗。许女士当时还有些不解,觉得自己并没有撞到肚子,只是稍微有点腹胀,也没有出血,当天B超并没有发现什么异常情况,不知为何要住院治疗。不过为安全起见,她还是遵医嘱住院了。谁知,她住院1天后复查超声,发现绒毛膜下有约2.7厘米×1.4厘米的血肿,被诊断为绒毛膜下血肿、先兆流产。经保胎治疗2周后,许女士平安出院。
检查影像图(通讯员供图)
该院妇产科副主任赵枫介绍,绒毛膜下血肿,又称为胎膜后出血或绒毛膜下出血,是指妊娠期间在胎盘与子宫壁之间形成的血液聚集。这种情况通常发生在妊娠早期和中期,血液积聚在绒毛膜(胎盘的主要组织之一,位于胎盘和子宫之间)与底蜕膜之间,形成血肿。每年急诊妇产科都会接诊很多类似许女士这样的孕妇,因为运动过量,出现不适来就医,表面上并没有发生腹部磕碰、腹部疼痛和出血症状,但经过48-72小时观察后,一部分出现了先兆流产症状,及时发现与治疗后,预后都很好。
赵枫表示,以下原因容易引起绒毛膜下血肿:机械性因素,尤其是腹部直接受到撞击和挤压、过度颠簸、情绪(激烈争吵);孕妇血管病变,妊娠期慢性高血压、慢性肾病及全身血管病变;孕期性生活史、劳累、孕激素水平影响;其他高危因素,如高龄、吸烟、经产妇、代谢异常、有血栓形成倾向、子宫肌瘤等,以及免疫因素。
绒毛膜下血肿的症状因个体差异而异,有些孕妈可能没有任何症状,仅在B超检查时被发现,而有些孕妈可能会出现下身流血,表现为暗红色或深褐色的血液,量一般不多,无腹痛;部分孕妈可能会出现轻微的腹痛或不适感;还有的会出现先兆流产症状,如宫缩、胎膜早破等。一旦出现以上不适,需要及时就医,遵医嘱进行治疗。
专家提醒,女性怀孕前,要做好孕前检查,积极治疗基础疾病;定期产检,及早发现妊娠并发症并处理;保持良好的生活习惯和积极乐观的心态,避免外伤、剧烈运动和过度劳累;保持良好的营养,进行适度锻炼,对于预防和治疗绒毛膜下血肿也非常重要,运动一定要循序渐进,切记不可运动过量。
