说起便秘
很多朋友首先想到的就是
“用点什么能让自己顺利排便”
吃香蕉、喝蜂蜜水、用开塞露
或是到药店寻觅些“排毒清肠”的药物
不到万不得已,是不会去医院的
53岁的季女士就是其中的一位便秘4年多
各种偏方试了个遍
直到实在“无解”
才来到医院
此时,整条肠子变黑、布满斑点
像“豹纹”一样
偏方通便,效果越来越差
今年53岁的季女士,被便秘困扰了4年多,起初,她通过改变饮食结构、多吃粗粮来改善。后来,她迷上了网络推荐,开始尝试各种通便茶和保健品。服用后,季女士发现便秘确有好转,就养成了长期服用的习惯,还会定期囤些货在家。当一种茶或保健品没什么效果后,她就会换另一种尝试。
直到2024年4月中旬,季女士发现所有的通便茶都不管用了,腹部持续胀痛,这才匆匆赶到淮安市中医院肛肠科就诊。
不查不知道,一查吓一跳!患者整条大肠内壁呈现棕黑色蛇皮样的改变,黑色素沉着明显,诊断为“结肠黑变病”,若继续发展,有癌变的可能。
看到检查结果,季女士吓得腿都软了:“我以为喝喝通便茶能有多大事,咋给自己弄个‘黑心肠’,这可怎么办啊!”
医生向季女士详细讲解了黑变病的特点,治疗方法,后续的发展,得知自己的肠子“还有救”,季女士连连点头,紧张的情绪也放松了不少。
随后医生为她开了补气温阳、润肠通便的中药汤剂,并配合以针灸、中药灌肠等外治法进行治疗,季女士的便秘症状明显好转。7月初的电话回访中,季女士高兴地告诉祝丽丽,目前2天排便一次,没有腹痛腹胀等不适。
肠子变“豹纹”,一点也不罕见
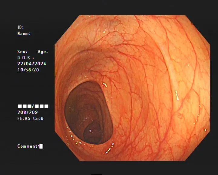
据医生介绍,临床上许多患者自行口服药物后筛查肠镜均有不同程度的结肠黑变病。正常的结肠黏膜就像我们的口腔黏膜一样,是淡红色的,看起来光滑平坦,黏膜表面的小血管纹理清晰可见。而结肠黑变病的肠黏膜色泽呈现棕色、褐色,有豹纹或者蛇皮一样的条状纹,严重的甚至会变成黑色。
正常的肠道
结肠黑变病患者
结肠黑变病是因为结肠壁的吞噬细胞吞噬了褐色素样物质,导致肠壁色素沉着。通俗点说,就是大肠吃多了色素,就变成了黑肠。此外,直肠前突、肠套叠、溃疡性结肠炎等其他疾病也可能导致黑变病。
虽然结肠黑变病属于非炎症性、良性、可逆性疾病,但一般来讲,结肠黑变病合并肠癌、肠息肉的概率很高。严重时,甚至需要手术治疗。
便秘不能拖,更不要轻信偏方
医生提醒,便秘是一类临床表现,导致其发生的原因有很多,例如肠道的器质性病变、肠道动力不足,盆底功能障碍等,一定要到正规的医院进行分型治疗,在病因没有搞清楚之前,一定不要乱吃药,以免延误病情!
你真的有便秘吗?导致便秘的因素有哪些?
人的食物摄入、肠道菌群等因素会影响大便,排便情况存在个体差异性,不存在一个严苛的标准,并不是所有人都是 1 天 1 次「香蕉便」。正确对待便秘,首先要学会判断自己是不是真的便秘了。
通常情况下,存在下列2条及以上的症状,应该考虑是否患有便秘:
排便次数减少,每周<3次;
大便过于干硬,形状像“羊粪球”;
排便时感到费力;
有肛门直肠梗阻和(或)堵塞感;
需要用手法辅助(如用手指帮助排便、盆底支撑排便);
需要用泻药、灌肠等手段维持排便;
有排便不尽感。
出现这些症状要尽快去医院检查
当便秘合并这些症状需要提高警惕,尽早到医院进行肠镜检查以筛查肠道器质性病变:
✦便血或大便表面有像鼻涕样的黏液;
✦便秘的同时伴有腹胀、腹痛、恶心、呕吐;
✦出现食欲减退、明显消瘦等症状;
✦出现贫血症状,如脸色苍白、头晕眼花等;
✦排便习惯改变:排便不规律,便秘和腹泻交替出现。
杭州日报综合荔枝新闻、淮安市中医院
