极目新闻记者 刘迅
通讯员 金煦
六旬老人在五个月时间暴瘦20斤,没想到是因为肝脏上长了个巨大肿瘤,直径达20厘米,几乎占满右半肝,随时有破裂大出血的风险。协和肝胆外科专家冒险“拆弹”。1月3日,老人复查各种指标都不错,已回归到正常生活。专家介绍,肝脏的再生能力很强,即使连同肿瘤一起部分切除后,也比正常的肝脏体积大,完全可以满足身体的需要。
60岁的程先生(化姓)家住湖北天门,平时在家干农活,身体一直不错。近5个月来,程先生感觉身体出现异常,人也瘦了很多,想着老话说“千金难买老来瘦”,他也没太在意,直到子女发现他体重降了20斤,饭也吃不下,这才赶紧将他送到当地医院检查。
经CT检查发现,他的肝脏上长了个巨大的球形肿瘤,直径约20厘米。更凶险的是,它随时有破裂大出血的风险,必须尽快手术。考虑到疾病凶险,当地医院紧急联系后将患者转至武汉协和医院车谷院区肝胆胰外科/肝脏移植中心,并在短时间内完成术前检查。


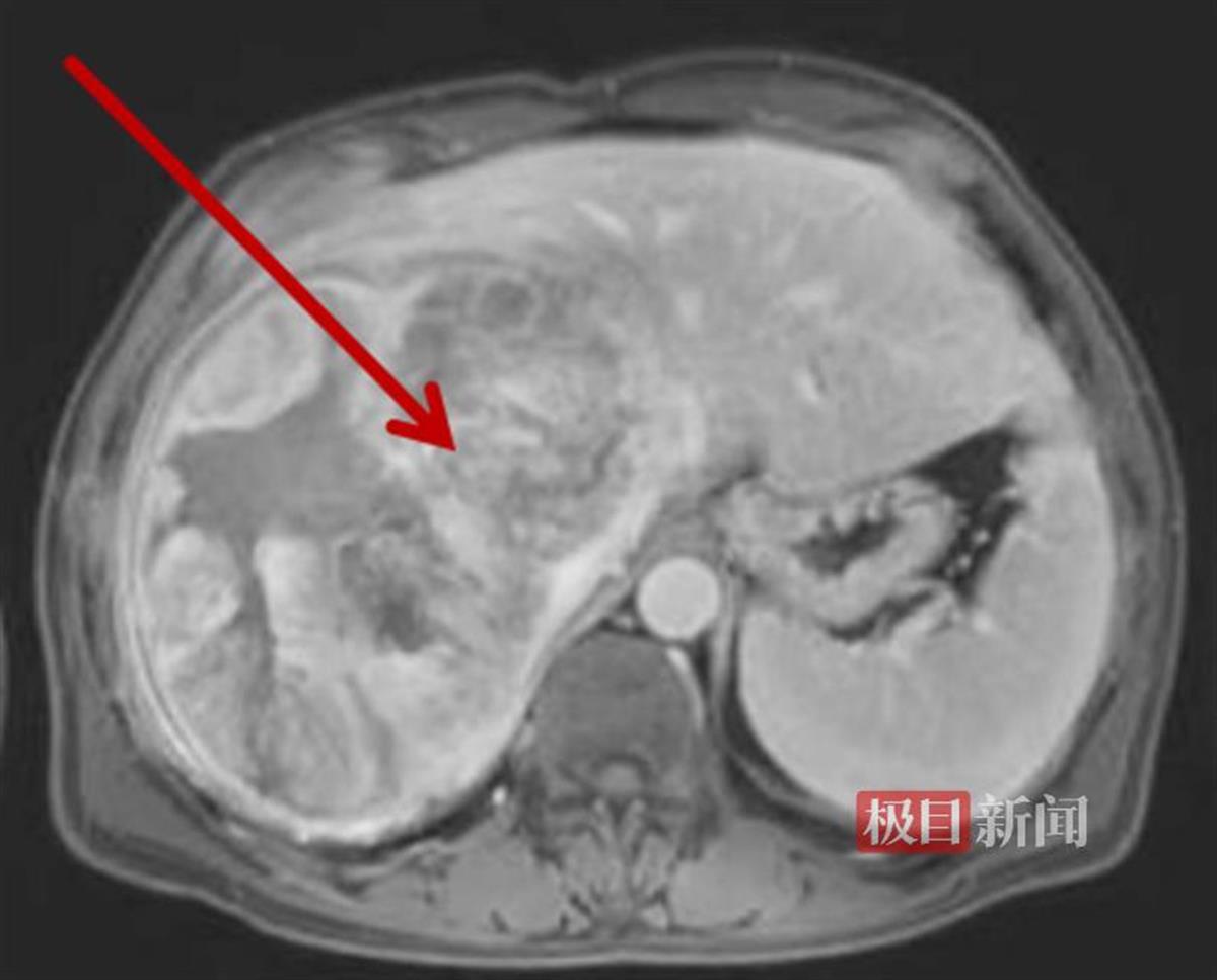
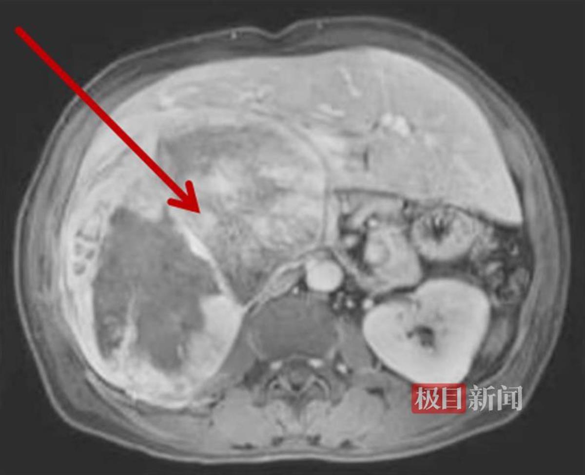
术前影像检查发现肝脏巨大肿瘤
经过三维重建评估,患者的肝脏重约4795克,是正常肝脏的3倍多,其中肝脏肿瘤的重量约2888克,占了肝脏重量的一半以上。经过评估,患者肝脏上的病灶是单个的,且肿瘤呈膨胀性生长,从影像学上看有完整的包膜,属于早期肝癌,切除后效果会比较好。
三维重建影像,浅黄色部分为肝脏肿瘤
但由于肿瘤较大,切除的风险很大。该科副教授胡少勃耐心安抚家属的同时,同肝胆外科专家郑启昌教授反复评估并做好充分的术前准备。
术中探查发现,该肿瘤几乎占满右半肝,且压迫了两条重要的静脉血管,各肝静脉分支呈“怒张”状,压力显著增加,极有可能导致术中大出血,“平常相对常规的肝脏游离过程,在这个患者身上非常困难。”胡少勃说,肿瘤霸占了右上腹的大量空间,留给医生可操作的空间非常有限。
郑启昌教授通过多年的经验和手感,先将肿瘤的“外围”逐步清除,再轻柔地托住肿瘤,减少对下腔静脉的压迫。在降低肝静脉系统压力后,再离断肝实质,出血量显著减少。经过4小时的紧张手术,肿瘤有惊无险地被完整切除下来。目前,患者术后肝功能恢复良好,逐渐回归到正常生活。
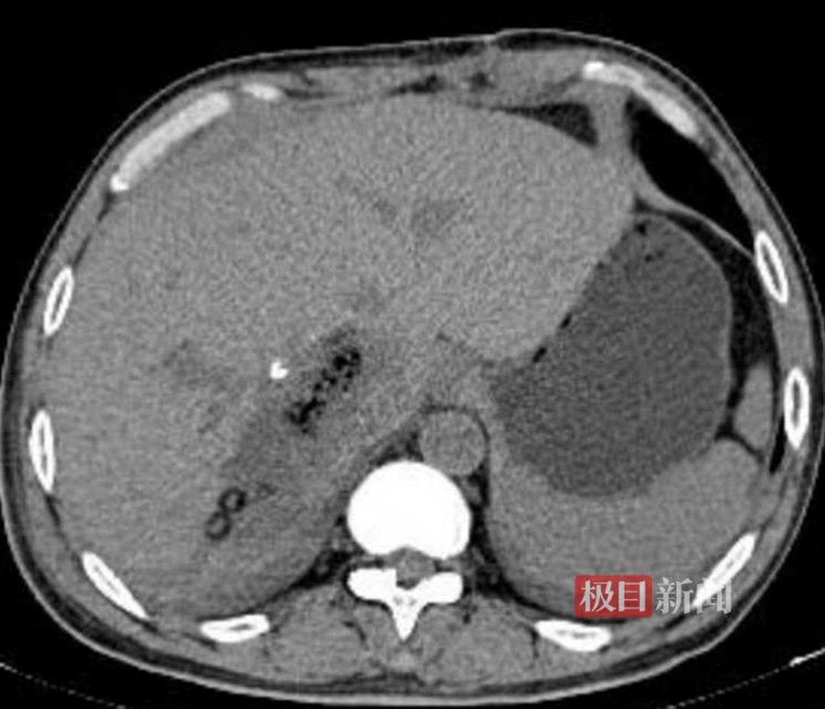
术后一周复查,残肝体积增生
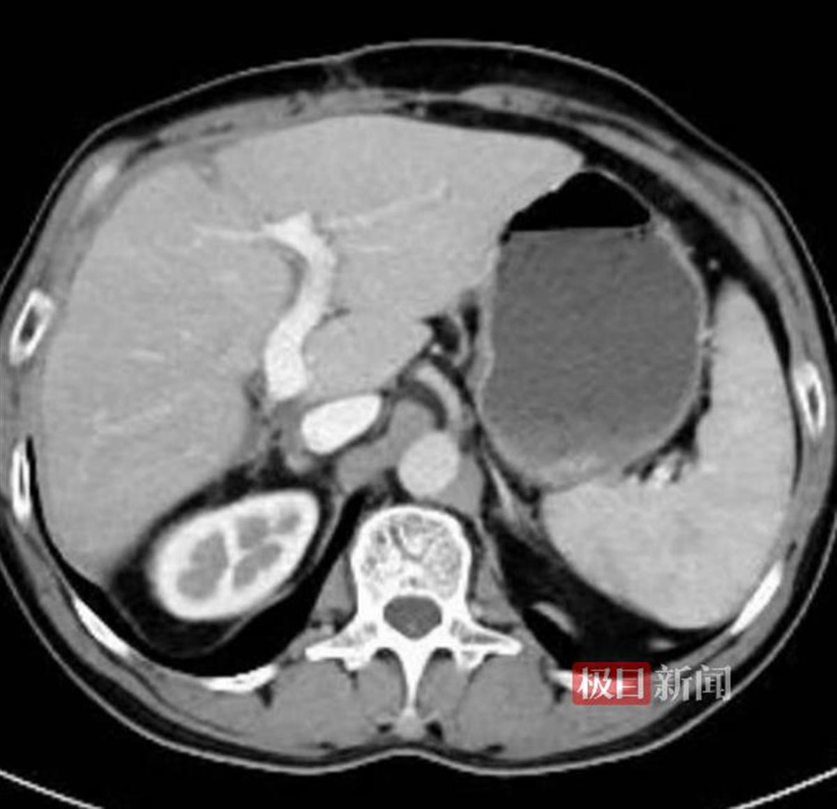
术后3个月复查,肝脏未见异常
胡少勃介绍,即使是60岁的年纪,患者肝脏的再生能力仍很强,在去除肿瘤后,肝脏重约1907克,也比正常的肝脏体积大,完全可以满足机体的需要。
专家提醒,肝癌属于“沉默性杀手”,早期常没有症状或者非特异性症状,如消化不良、乏力等,等到出现症状后再去就医,治疗效果会受到明显影响。有乙肝、丙肝或肝硬化的人群属于肝癌高危人群,需每半年复查一次肝胆彩超和肿瘤标记物,能够早期发现病变,及时处理,可以获得良好的治疗效果。
(图片由通讯员提供)
