在大多数人印象里,脑出血是成年人及老年人才会出现的疾病,儿童少见;脑干出血发生率本身就很低,发生在儿童甚至婴儿身上更低,更不用说小婴儿了。但是,从越来越多的病例中,医生却发现事实并非如此。
近日,刚出生1.5月的甜甜(化名)突然出现颈部左侧歪斜强直,口角左偏,同时出现精神差,嗜睡。焦急的父母立即送孩子前往当地医院就诊,在完善了颅脑CT结果后全家人大吃一惊“脑干出血”。孩子也没有外伤怎么会突然出血呢?一家人顿时百感交集,陷入了恐慌中。为进一步诊治,经业内专家推荐转至山东大学附属儿童医院(济南市儿童医院)治疗。
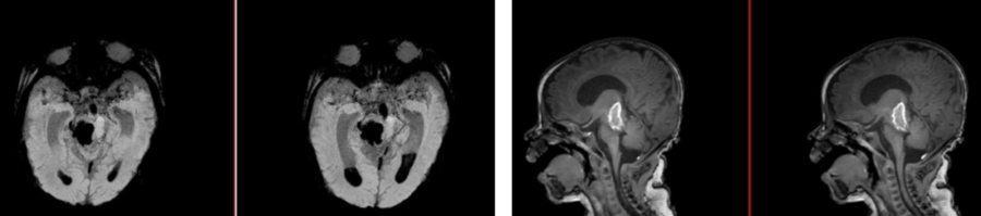
颅脑CT提示脑干、丘脑出血破入脑室
甜甜住进新生儿重症监护室后,科室立即联系了神经外科会诊,神经外科主任王广宇第一时间了解了患儿的发病过程及影像检查。临床经验丰富的王主任分析,患儿为新生婴儿自发性脑干出血,首先考虑脑干海绵状血管瘤出血,但不能排除血管畸形出血及新生儿VK缺乏出血等原因,需进一步完善颅脑磁共振血管成像及脑血管CTA等检查。
经过新生儿重症监护室积极治疗后,甜甜的病情暂时趋于稳定,但颅脑MRI及CTA检查结果显示情况不容乐观,脑干、丘脑出血破入脑室。虽然血肿使组织结构不易辨清,但经验丰富的王广宇仍从影像学上“嗅出”了异常。磁共振及CTA检查结合临床,考虑“脑干海绵状血管瘤出血”。
颅脑MRI及SWI考虑脑干海绵状血管瘤出血
什么是脑干?脑干在哪里?其实,脑干是连接大脑和脊髓之间的一个解剖结构,其中包括很多神经核和一些神经传导纤维。位于大脑最深处,“苹果”的核心部位,掌管人的呼吸和心跳,并维持意识觉醒。可以说是司令部里的司令部,可见其重要的地位和作用。
脑干是生命中枢,曾经一度被认为是手术“禁区”,周围结构复杂,且甜甜本身年龄小,体重只有5kg,对手术和出血的耐受力极差,一旦术中大出血将是灾难性的。另外,脑干的体积是非常小的,具体有多大?伸出你的大拇指来看一下,脑干就和自己的大拇指大小相似。大家猜想一下,出生仅一个多月的小婴儿,她的脑干能有多大?!在大脑的最深处,在这么小的脑干上做手术,结构又这么复杂,手术难度和风险可想而知。脑干海绵状血管瘤是指生长在脑干(中脑、桥脑和延髓)的一类血管性病变,它最大的特点就是反复多次出血,如果给甜甜选择保守治疗,一旦血管瘤再次出血,致死致残的几率就会大大升高。
看到这么棘手的问题,父母原本稳定的心情又陷入了无助和悲伤中。看着焦急又无助的父母,王广宇团队选择了扛下这个重担。神经外科团队组织手术室、麻醉科、新生儿重症监护室、输血科、电生理监测科室等进行术前谈论,针对患儿的复杂病情制定了详细的手术方案,充分评估术中可能面临的风险及手术预案,并积极联系苏州大学附属儿童医院神经外科王杭州教授协助手术。
在做好一切准备后,神经外科团队为甜甜安排了脑干海绵状血管瘤切除术,通过术中神经电生理监测充分保护面听神经功能,术中仔细分离病变与周围组织,完整切除病变,成功拆弹。
手术过程顺利,术中出血控制良好,仅仅输血0.5U,术中电生理监测提示手术前后比较无神经损伤加重表现,术后平稳转入重症监护室予以生命支持,术后第二天就成功脱离呼吸机,目前一般状态平稳。
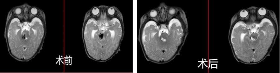
术前术后颅脑磁共振对比显示病变切除良好
甜甜手术的成功,拯救的不是一个孩子,更是一个家庭,这背后凝聚着多个科室的辛苦汗水。家属信任,团队合作,就算是“生命禁区”,医护人员也可以战胜病魔,赢得生命的希望!
