极目新闻记者 郑晶晶
见习记者 赵雪纯
通讯员 徐敏 荆彤
担心打石膏会影响孩子考试发挥,心急的妈妈在考试前一天晚上,擅自帮儿子拆下才打了15天的石膏。不料三天后手腕又疼又肿,到医院检查骨折错位,使得原本打石膏就能复位的骨折,不得不做手术才能修复。
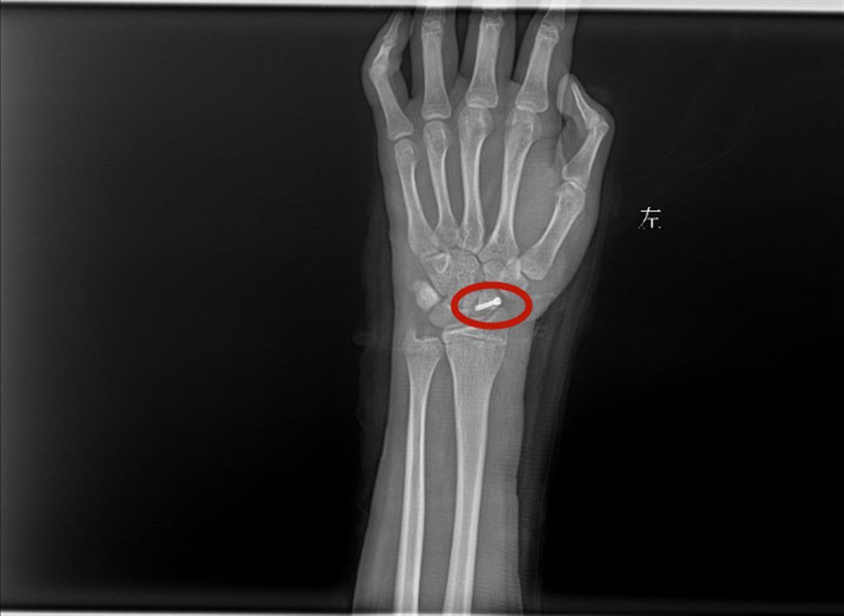
半月前,12岁的东东(化名)意外受伤,左手舟状骨骨折,武汉市第四医院小儿骨科医生给他打了石膏治疗。但妈妈杨女士很着急,儿子马上要参加六年级的一次重要考试,但她担心打着石膏影响孩子发挥,她便擅自将其拆除。仅三天时间,东东左手手腕又开始肿痛。再次去医院检查,医生发现孩子骨折处错位,需要手术治疗。
手腕骨折处
接诊的小儿骨科副主任医师李明静介绍,从东东受伤初期的片子来看,骨折处没有明显移位,只需采取石膏固定治疗。一般来说,7-10天最容易发生骨折移位,家长却在这个时间点擅作主张帮孩子拆除了石膏,导致了孩子骨折错位。目前,东东已进行了舟状骨骨折切开复位内固定术,恢复情况较好。
“对于骨折患者是不建议自己拆石膏的。”该院小儿骨科主任李凡提醒,患者及家属无法判断骨折部位是否稳定,如果在骨折断端不稳定时过早拆除,很容易导致骨折断端移位,此时就需要手术治疗。所以,骨折后拆除石膏,必须到医院进行拍片检查后,由专业医生判断恢复情况再决定,不可自行拆除。
(通讯员供图)
