60岁的李女士发现自己脖子变粗已经30多年,抱着能拖则拖的想法一直没有积极处理,问其原因竟是因为害怕手术。直到2022年底情况越发严重,出现呼吸不畅、胸闷不适等症状,无法正常生活才决定去医院寻求医生帮助。4月28日,现代快报记者了解到,近期,李女士来到南通大学附属医院甲乳外科主任何志贤门诊就诊,经检查诊断为胸骨后甲状腺肿。
在收治入院完善相关术前检查时发现,李女士胸骨后甲状腺肿巨大,瘤体周围大血管包绕,横切面本应呈圆形的气管已经被压迫成扁扁的椭圆形,且瘤体下方已达到主动脉弓水平,手术风险及难度极大。

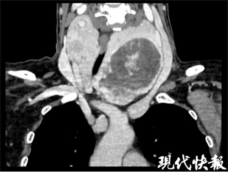
△甲状腺肿巨大
何志贤介绍,一般此类手术往往需要联合胸外科术中行胸骨劈开完成手术(开胸手术),而开胸手术面临着巨大的创伤及术后疼痛、恢复慢等风险。同时由于长期的肿块压迫,可能出现手术后气管软化,导致吸气时气管塌陷,而为了预防窒息,就需要术后转入重症监护病房保留气管插管,逐步拔管甚至需要做气管造瘘,创伤大,费用高。
术前,何志贤手术团队反复讨论病情及手术方案,并做好充分的手术预案。术中,麻醉手术科黄红芳主任娴熟的技术顺利气管插管成功取得开门红。何志贤带领张伟、王斐然医生组成的手术团队仔细处理一根根粗大的血管,一点点从颈部拔出深陷胸腔的甲状腺,经过2个小时的努力,成功将巨大的甲状腺肿切除。经测量,完成切除的甲状腺长径足足有15厘米。

△切除的甲状腺长径足足有15厘米
术后,李女士顺利拔除气管插管,术后第三天就顺利出院,术后未见出血、喉返神经及甲状旁腺损伤等手术并发症。30多年想做而不敢做的事,感谢何主任细心耐心的手术,终于让我变成了一个正常人。李女士激动地说。

△李女士恢复情况良好
专家提醒
甲状腺肿是一种常见病、多发病,病变常位于颈部,少数患者因自身甲状腺解剖变异或者胸腔负压吸引影响,肿块逐渐向胸骨后生长并最终形成胸骨后甲状腺肿。
此种疾病一般以良性肿瘤为主,但因为胸骨后空间狭小,一旦肿块凸入生长占据空间,将对心脏、颈部大血管、气管及食管产生压迫,严重者会因局部压迫作用来不及手术而危及生命。
所以胸骨后甲状腺肿一旦发现应该及时手术,这也是甲状腺手术的绝对适应症。(通讯员供图)
通讯员张伟陈静现代快报+记者严君臣
