近日,淄博市中心医院东院耳鼻喉综合病区完成一例巨大鼻腔嗅母细胞瘤切除手术。
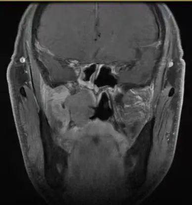
患者男,59岁,因左鼻腔涕中带血40余天入院,入院CT、MRI示前颅底肿瘤,侵犯前颅底骨质及硬脑膜。入院诊断:前颅底肿瘤。入院后在病房行活检示(左侧鼻腔)嗅神经母细胞瘤,排除手术禁忌症后行全麻下经鼻内镜下前颅底肿瘤及前颅底部分骨质磨除、硬脑膜切除,鼻颅底重建手术。
患者术后严格卧床一周后顺利出院。这也是科室首例累及前颅底、硬脑膜的巨大嗅母细胞瘤切除、颅底重建手术。患者现恢复良好,目前行放、化疗治疗。


CT、MRI示前颅底肿瘤,侵犯前颅底骨质及硬脑膜
鼻内镜下颅底肿瘤发病率低,手术难度大,风险高。手术切除肿瘤、颅底重建,是耳鼻喉手术的难点,也是衡量学科实力的一个重要标志。
目前,仅东院耳鼻喉综合病区,一年完成鼻颅底肿瘤手术,包括脑脊液鼻漏修补、视神经管减压、颅底良、恶性肿瘤切除、颅底重建等复杂性手术23例,其中独立完成20例,在医院设立的名医名家工作室李学忠教授的指导下完成3例,手术量在全省处于前列。
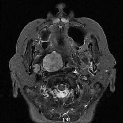
病例1:患者男,56岁,因反复鼻出血入院,入院CT、MRI示肿瘤侵犯右侧翼腭窝、颞下窝、翼突根及翼内外板。入院诊断:侧颅底恶性肿瘤。肿瘤范围大,难度大,风险高。
科室副主任刘永亮立即组织颅底肿瘤团队进行病例讨论,决定全麻经鼻内镜联合唇龈沟入路切除肿瘤,术中肿瘤完全切除。术后病理:(右侧鼻腔)纤维上皮瘤恶变为鳞状上皮原位癌。


CT、MRI示肿瘤侵犯右侧翼腭窝、颞下窝、翼突根及翼内外板
病例2:患者男,19岁,因头痛、发热1天入院,入院CT、MRI示前颅底骨质缺损,脑组织膨出。入院诊断:1.脑膜脑膨出,2.颅内感染。入院后行腰椎穿刺检查示脑脊液常规:有核细胞计数564x10^6/L,给予抗颅内感染治疗10天,病情稳定行手术治疗。
手术在全麻下经鼻内镜下脑膜脑膨出切除,大腿阔筋膜及带蒂鼻中隔黏膜瓣修补前颅底缺损,术后患者恢复良好,未再出现颅内感染情况。


CT、MRI示前颅底骨质缺损,脑组织膨出
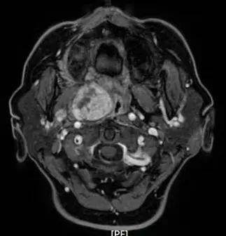
病例3:患者女,58岁,因发现鼻咽部肿物1月入院,入院CT、MRI示肿瘤位于右侧咽旁间隙,毗邻颈内动脉及静脉。入院诊断:右侧咽旁间隙肿瘤,累及颅底。
手术在全麻鼻内镜下行肿瘤切除,术中完全切除肿瘤,无大出血及损伤血管情况发生,术后病理:(咽旁间隙)多形性腺瘤伴部分瘤细胞非典型性增生。


CT、MRI示肿瘤位于右侧咽旁间隙,毗邻颈内动脉及静脉
科室介绍
淄博市中心医院耳鼻喉科,是山东省首批临床重点专科,现床位162张,医护人员119名,分四个临床病区和一个门诊特检室。在宋道亮主任的带领下,耳鼻喉学科团结协作,坚持突破创新,临床与科研并重,补短板,填空白,积极向国家重点专科看齐。
今后将充分发挥淄博市中心医院省级区域医疗中心的整体优势和人才、技术储备,为更多的患者提供优质的医疗服务。(王国权)
