近日,西宁市湟中区第一中学的师生们被一场突如其来的疾病笼罩在了悲伤之中,该校2名学生因脑膜炎去世的消息引起了广大网民的关注。
7月3日,西宁市湟中区教育局、湟中区卫生健康局发布《关于湟中区第一中学2名学生因病死亡相关情况的通告》。通告称,6月5日,湟中区第一中学八年级(5)班一名学生马某某因脑膜炎奈瑟菌感染,于青海省妇女儿童医院抢救无效死亡;6月26日,湟中区第一中学八年级(5)班学生严某某同样因脑膜炎奈瑟菌感染,于青海大学附属医院抢救无效去世。
流行性脑脊髓膜炎有哪些特征?又该如何避免疾病的进一步传播?针对这一疾病的特征与防控,一起听听华山感染专家们怎么说……
专家观点速递
张文宏 教授
国家传染病医学中心主任、复旦大学附属华山医院、感染科主任
在实施疫苗普遍接种后流行性脑膜炎引起的死亡病例已经大幅度下降。
一旦发生病例后,应该立即对于该病例的疫苗接种史与细菌血清型进行评估与检测,对引发这一当前少见的传染病予以充分重视,从根本上解决问题。
其次要对病例的接触者进行细致观察和预防性治疗,以免病例的进一步传播造成大面积的传染和疾病死亡。
王新宇教授
复旦大学附属华山医院、感染科副主任
流行性脑脊髓膜炎在我国被列为乙类传染病,虽然近年来报告的病例数并不多,但由于其具有烈性传染病的两个特征:传染性强和病死率高,因此一旦发生聚集性病例报告时绝对不应忽视。
脑膜炎奈瑟菌与其他细菌不同之处在于其特别容易造成中枢感染和诱发弥散性血管内凝血,临床病程进展快速是造成死亡率居高不下的主要原因。人类为了应对其造成的危害,一面通过抗生素来治疗患者和对密切接触者进行暴露后的化学预防来阻断疾病的传播,同时通过疫苗在人群中的大规模接种来形成群体免疫以使整个人群获得免疫保护。然而由于脑膜炎奈瑟菌多种多样的血清型,以及多糖疫苗保护的局限性,目前采用的疫苗还不能称得上完美,期待更为广谱高效的流脑疫苗。
对于感染病临床专业人员来说,对于此次青海西宁的两个病例,我们在痛惜患者逝去的同时,更需要提高警惕,做好发热伴中枢神经系统症状患者的监测工作,做到早发现、早治疗,在尽可能降低病死率的同时避免疾病的进一步传播而造成的更大危害。
脑膜炎奈瑟菌有多危险
对于感染了脑膜炎奈瑟菌(又称脑膜炎球菌)的人来说,无疑是一个可怕的经历。
脑膜炎球菌脑膜炎(又称流行性脑脊髓膜炎,简称流脑)容易感染既往健康的年轻人。该病进展非常迅速,可以在数小时内致死。其临床表现包括重度休克、皮下出血、牙龈出血、四肢血管的血栓形成,谵妄以及导致在24小时内死亡的昏迷。
如果感染未得到适当治疗,则死亡率非常高;即便是成功治疗的病例,长期后遗症也可以很严重。脑膜炎球菌病病死率居高不下,主要是因为难以有效治疗常由该菌内毒素诱导的迅速进展的循环衰竭。
脑膜炎奈瑟菌可造成地方性和流行性感染。在整个人群普遍易感时,可以在短时间内造成暴发。脑膜炎球菌感染的大多数病例是儿童和青少年。
脑膜炎奈瑟菌的生物学特点
脑膜炎奈瑟菌是一种细菌性病原体,是革兰阴性双球菌,具有抗吞噬作用的荚膜。
脑膜炎奈瑟菌可根据不同的荚膜多糖细分为血清群。八个血清群最常引起人类感染(A,B,C,X,Y,Z,W135和L)。
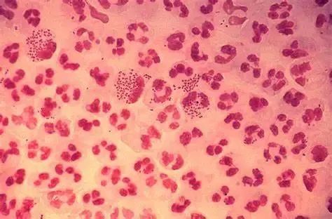
脑脊液涂片可以看到多核细胞内大量细菌
脑膜炎奈瑟菌仅感染人类。脑膜炎球菌感染的病理生物学与鼻咽定植和多种毒力因子有关,脑膜炎奈瑟菌在鼻咽表面定植是发生全身感染的先决条件。
我国脑膜炎奈瑟菌的流行情况
我国曾是A群脑膜炎球菌病脑膜炎球菌病高发国家,记载发生过5次全国性A群脑膜炎球菌病流行,各省份均有脑膜炎球菌病病例报告。20世纪80年代随着A群脑膜炎球菌多糖疫苗和AC群脑膜炎球菌多糖疫苗纳入国家免疫规划并广泛使用,脑膜炎球菌病发病率大幅下降。
然而,令人感到不安的是我国安徽省2003年至2005年暴发了新的血清群C群脑膜炎球菌病(72例中有10例暴发)。分子鉴定发现此菌株(序列类型-4821)不属于任何之前报道的序列类型,形成了一个新的高毒力的谱系。
2010年以来,我国脑膜炎球菌病报告病例主要分布在新疆、河北、安徽、四川、贵州和广东等省份,主要流行和病例发生季节为冬春季。各年龄组人群均有脑膜炎球菌病病例报告,主要发生在<15岁人群。<5岁儿童具有较高发病率,年龄越小发病率越高,尤其是6月龄至2岁的婴幼儿。不同菌群脑膜炎球菌病病例构成随时间呈明显变迁趋势,A群脑膜炎球菌病病例构成总体呈减少趋势,C群脑膜炎球菌病病例构成呈先增加后减少趋势,B、W群和其他群(包括未分群)脑膜炎球菌病病例的构成则呈上升趋势。
此次青海病例的血清群和基因型有待进一步的检测和明确,如果是A,C群中的一种,则应当对当地的接种情况进行评估,如果是非A,C群的流行则提示可能需要扩大现有流脑疫苗的血清群类型以覆盖的相应血清群,如果是全新的流行株则更需要密切监测和深入研究该菌株的致病和传播特性。
多种多样的临床表现
急性脑膜炎球菌病最常表现为3种综合征:脑膜炎(流行性脑脊髓膜炎,简称流脑)、脑膜炎伴脑膜炎球菌血症,以及不伴脑膜炎临床证据的脑膜炎球菌血症。
细菌越过血脑屏障造成脑膜炎症和脑脊液改变
脑膜炎奈瑟菌所致脑膜炎的典型初始表现包括平素体健的患者突然出现发热、恶心、呕吐、头痛、注意集中力下降和肌痛。
肌痛可能是一个重要的鉴别症状,偶尔可出现非常剧烈的疼痛,这种疼痛通常比病毒性流感中的肌痛更严重。疾病进展通常相当迅速,可在数小时内从健康转变为严重疾病。
脑膜炎奈瑟菌感染的临床表现多种多样,为了做出诊断,需要对该病保持高度怀疑并仔细寻找疾病线索,特别是在本地没有发生流行的情况下。
生命体征常显示为血压降低和脉搏加快。应加强搜寻瘀点和瘀斑。体格检查还应包括脑膜刺激征。然而,缺乏脑膜炎体征并不能排除全身性脑膜炎奈瑟菌感染的诊断。
脑膜炎球菌性脑膜炎和脑膜炎球菌血症常导致休克、弥散性血管内凝血以及暴发性紫癜。
在脑膜炎奈瑟菌性脑膜炎患者就诊时或更多是在疾病恢复期有可能出现多种并发症,包括免疫复合物相关的并发症,如关节炎、胸膜炎、血管炎和心包炎。
早期诊断对脑膜炎球菌病患者的治疗非常关键。所有突发发热性疾病的患者(特别是有瘀点和/或脑膜刺激征的患者)的鉴别诊断都应考虑到脑膜炎球菌感染。疑似细菌性脑膜炎时,在等待脑脊液细菌生长、分离鉴定及药敏结果期间,应对患者予以覆盖最可能病原体的经验性治疗。
对于疑似细菌性脑膜炎的治疗,推荐在等待细菌分离鉴定及药敏结果时给予第三代头孢菌素(如头孢曲松)并联合万古霉素。
血管系统衰竭和休克是脑膜炎球菌疾病的常见早期表现,血管活性药物和积极的补液治疗是处理脓毒性休克所必需的。预防暴发性紫癜的关键在于早期积极地进行抗生素治疗和血管灌注支持。部分病例可能需要对病变进行手术清创和皮肤移植。手指/足趾或肢体深部坏死可能需要截肢。
如何预防脑膜炎球菌感染
脑膜炎奈瑟菌感染的预防方法包括在识别指示病例后的抗生素化学预防、在疑似或确诊脑膜炎奈瑟菌感染患者开始接受有效抗生素治疗后持续24小时采取飞沫传播预防措施、暴露前进行疫苗接种,以及避免危险因素。
由于密切接触者中继发病例的发生率在指示病例起病后不久最高,所以应尽早(最好在确认指示病例后24小时内)给予抗生素预防。在暴露于指示病例后14日以上给予化学预防很可能作用有限,甚至没有作用。化学预防可以选用利福平、环丙沙星和头孢曲松。
对于侵袭性脑膜炎奈瑟菌疾病患者,采用头孢曲松或其他三代头孢菌素之外的其他药物进行全身治疗不能可靠地根除鼻咽部携带的脑膜炎奈瑟菌。因此,如果采用其他药物治疗,则患者应在出院前接受头孢曲松来清除鼻咽部携带菌,以防止随后将病原菌传播给密切接触者。
(原题为:《两名初中生相继因脑膜炎去世!脑膜炎奈瑟菌究竟有多危险?》)
