据澎湃新闻12月13日报道,近日,宁波一位年轻妈妈小美(化名)参加亲子拔河比赛时,为更好地发力,她将麻绳绕在右手手腕上,不料拔河开始后她的手腕被麻绳绞住,导致腕关节完全骨折脱位,被诊断为腕部离断伤。宁波二院为她开通绿色通道紧急开展手术,才成功“保住”了小美的右手。
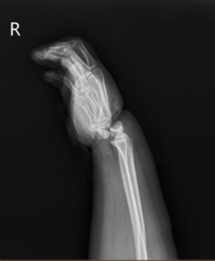
小美手部的X线摄片(图源:宁波二院供图)
另据中国宁波网报道,小美参加拔河比赛时,站在中间位置,为更好地发力,她将拔河的麻绳缠绕在右手手腕上,大家不发力的时候她拴着绳子的手腕没啥感觉,没想到,当比赛哨声刚响起,两边的队友一发力,她就感觉自己的手腕一阵剧痛,被牢牢地绞在绳中无法挣脱。小美痛地大喊:“快停下,快停下!”然而比赛开始后,两边的呐喊声和加油声响起,嘈杂一片,完全盖过了小美的呼救声,根本没人注意到。等比赛停止后,小美已经瘫倒在地。热闹的运动会因此戛然而止,宁波市急救中心工作人员赶到后进行了初步救治,把小美紧急送到了医院。
小美抵达医院后,宁波二院急诊科医生王贝判断其血运不佳,手显微修复外科医生王骏杰会诊后判断,小美腕关节以及远动静脉血运可能都已离断,需要立即行断腕再植术。
“我刚看到这位患者时,她的右手十分肿胀,手腕严重变形,被绳勒过的皮肤已坏死,整个手掌因缺血呈现青紫色。”宁波二院手显微修复外科副主任郭宗慧向澎湃新闻介绍,经检查发现,小美的腕关节受暴力绞压,两条动脉血管已断,并伴有长段血管损伤,静脉血管出现长段栓塞,手腕关节已完全骨折脱位,有近1cm宽的环形皮肤被挤压坏死。
郭宗慧告诉澎湃新闻,要想保住小美的手掌,必须尽快恢复手掌的血液流通。然而,小美到医院时距受伤已过去3小时,手掌的毛细血管中已形成血栓,耽误时间越久,手掌因缺血而坏死的可能性越大,医院立即为患者开通绿色通道,紧急开展手术。
郭宗慧(右)在为小美做手术 (图源:宁波二院供图)
手术中,医生先用500毫升抗凝药液为小美疏通手掌血管,再复位腕部断裂和脱位的骨头,然后接通8根血管,修复挫伤的神经,缝合断裂的腕部肌腱,耗时4个多小时为小美“保住”了右手,重建右手血运及功能。
据了解,目前小美已度过最危险的阶段,后续只需拆除手部钢针,继续进行手部功能锻炼,但其右手的精细运动还是会受到一定影响。
郭宗慧提醒,拔河时不要将绳子拴在手腕、手臂、腰等身体部分。“受力的绳子威力不亚于剪刀,绞伤甚至比锐器割伤更严重”。手部外伤在日常生活中比较常见,要了解手外伤的基本救治措施:如用干净的毛巾提前简单包扎止血;骨折后可用硬木板或硬纸板临时固定,防止进一步损伤;出现手外伤后要及时转运,早诊断早治疗,才能把损失降到最低。
极目新闻综合澎湃新闻、中国宁波网
