现代快报讯“一直以为是穿高跟鞋走路太多引起的,就没太在意,没想到是得了Haglund综合征。”盐城市民董女士今年34岁,工作非常繁忙,前几年常常需要各地奔波,右脚不时会出现脚后跟痛。
最近一段时间,董女士闲赋在家,可脚后跟的疼痛却越来越重,辗转各地求医后,采用了外敷内服等各种保守治疗方式,症状偶有缓解,但疼痛反复发作,未能根治。
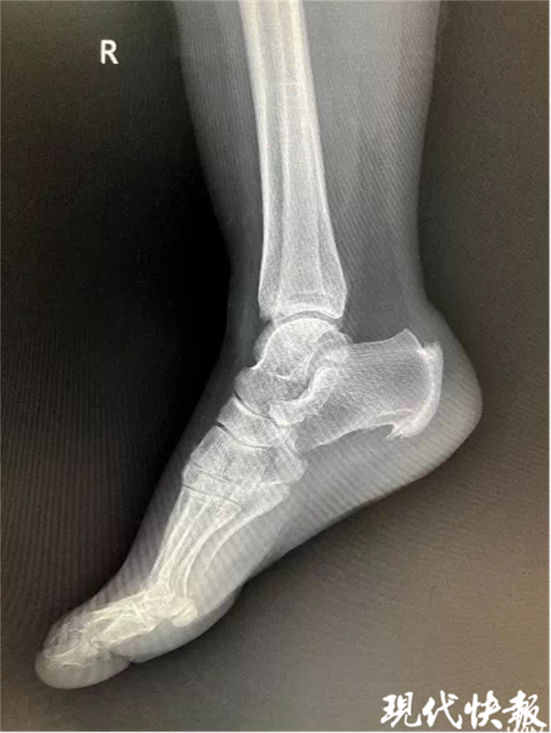
眼看脚后跟鼓出一块“老茧”,天天因疼痛而犯愁,在朋友的推荐下,董女士来到盐城市第三人民医院手足外科门诊咨询就诊。该院手足外科副主任吴加东接诊后发现,董女士的足跟后缘慢性突出,红肿,压痛明显,遂让她去拍了一个跟骨侧位片,发现其跟腱止点处有一个巨大骨赘。
“结合董女士的查体和病史,我考虑她得了Haglund综合征。”吴加东告诉记者,Haglund综合征听起来很陌生,其实在日常生活中并不是十分少见的,1928年,瑞典骨科医师PatrickHaglund首次提出此病,将止点性跟腱炎、跟骨后上突增生(Haglund畸形)与跟腱滑囊炎统称为Haglund综合征。
吴加东介绍,此病好发于30岁左右的年轻人,除了先天发育异常外,患者鞋帮过紧、长期与足后跟压迫、摩擦,以及活动较多,反复的后足背伸、跖屈,导致跟骨后上结节与跟撞击等因素,都会引起Haglund综合征。“近年来,因长期穿高跟鞋或过紧过硬的跑鞋,引发后跟痛来咨询或就诊的年轻女性越来越多。”

△吴加东团队手术中
结合患者病情,在征得本人同意后,吴加东团队为其实施了“骨赘切除+跟腱固定”手术。团队利用微型摆锯将骨赘彻底清除,并将锚钉埋入跟骨内利用尾线将跟腱重新编织缝合,共用时一个多小时。术后,董女士跟骨后上结节异常骨性凸起清除彻底,症状缓解,目前已康复,行走自如。


△患者术前及术后X-ray片
盐城市第三人民医院手足外科提醒广大患者,如果要预防症状复发,需要穿合适的鞋子,避免鞋子后跟部太硬“磨脚”;使用足弓支架或矫形鞋垫;定期进行拉伸运动放松跟腱,如单腿踮脚训练;避免在坚硬的地面上跑步,避免上坡跑步。
通讯员吴加东郑翔董传奇现代快报+记者王菲
