记者张如意通讯员汪心海王鹏策
结膜是衬贴于眼睑内面和眼球表面的一层柔软、光滑、透明且富有弹性的薄膜,依据其所在位置可分为球结膜、穹窿结膜和睑结膜。当闭眼时,形成密闭的结膜囊,保护眼球,并协助将泪液引流到泪道。
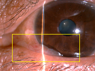
正常情况下,球结膜平整的贴附在眼球表面,我们几乎感觉不到它的存在。但像皮肤一样,随着年龄的增长结膜也会逐渐变得松弛起来,结膜一旦松弛,在下方堆积,就会对眼睛产生一系列的影响。
1、面容老化。松弛的结膜堆积在下方,看上去红红的一团,给人一种老态龙钟的表现,所谓的人老珠黄,可能也跟这一点有关吧。
2、眼部异物感。眨眼时松弛的结膜会被睑缘推着上下运动,触碰到角膜时便会有明显的磨痛,有时摩擦的刺激引起结膜水肿,进一步加重磨的感觉,形成恶性循环。
3、流泪。松弛的结膜堆积在下眼睑和眼球之间,阻碍了泪液流动的通路,严重时可覆盖泪道的入口(泪小点),同时松弛结膜的摩擦刺激又会增加泪液的分泌,这就导致不自主的流泪。

治疗前

治疗后
记者在山东第一医科大学附属眼科医院(山东省眼科医院)了解到,结膜松弛的治疗非常简单,传统的方法是把松弛的结膜切掉一部分,就像美容院做“拉皮儿”一样。该医院有先进的设备,处理结膜松弛变得更简单、更微创。只需要把发丝一样细的刀头在结膜下电上一秒钟,松弛的结膜便会瞬间收缩,稳稳的重新贴附到眼球表面,手术只有5分钟,而且还不用忍受打麻药的疼痛,没有一点儿血腥的味道。术后松弛的结膜平整的贴到眼球表面,眼红、泪溢等症状也明显减轻了。
