极目新闻客户端
-
再植成功!武汉“芯”在协和植入高位截瘫患者颅内极目新闻 11-25 -
热血作品集结!快来送TA“C位出道”极目新闻 07-21 -
用雨伞科普乳腺结构、将耳廓比作倒置的胎儿缩影……武汉杏林高手比拼中医教学功底极目新闻 1小时前 -
药品价格登记系统上线 将带来哪些影响?新华社 昨日
-
广州一商家称半年内被同一人“仅退款”225个包裹,损失5万多元,当事人:事发后对方求和解,我拒绝了潇湘晨报 昨日
-
流感已对奥司他韦耐药了吗?探访首儿所新京报 昨日
-
直播预告|《大话西游》“唐僧”罗家英空降武汉,跟着极目探院解锁舒适看牙真经极目新闻 昨日 -
流感一线用药出现耐药?专家:临床未普遍出现新华社 昨日
-
医校同心志愿同行,健康护航温暖相伴,武汉市中心医院医护志愿者进高校关爱师生健康极目新闻 1小时前 -
强化实操、直面临床难点,这场比赛呈现武汉中医临床教学新图景极目新闻 2小时前 -
85后人力资源师捐“生命种子”救血液病少年,坚持无偿献血18年合计6200毫升极目新闻 1小时前 -
飞蚊症不仅是眼病更是“心病”,“高射炮打蚊子”助患者打破焦虑循环极目新闻 1小时前 -
女子感冒后硬扛加班,竟遭遇“心脏刺客”!医生:这个年龄段最危险潮新闻 昨日
-
羞于启齿!浙江女子私处肿成“鸡蛋”,硬扛3天 医生:这病拖不得健康杭州、淳安县第一人民医院 昨日 -
平均3分钟,在护士站即可扫码办完出院手续!武汉29家医疗机构来儿童医院“取经”极目新闻 2小时前
-
“医疗”遇上“养老”,如何打通服务“最后一公里”?这场研讨会给出答案极目新闻 昨日 -
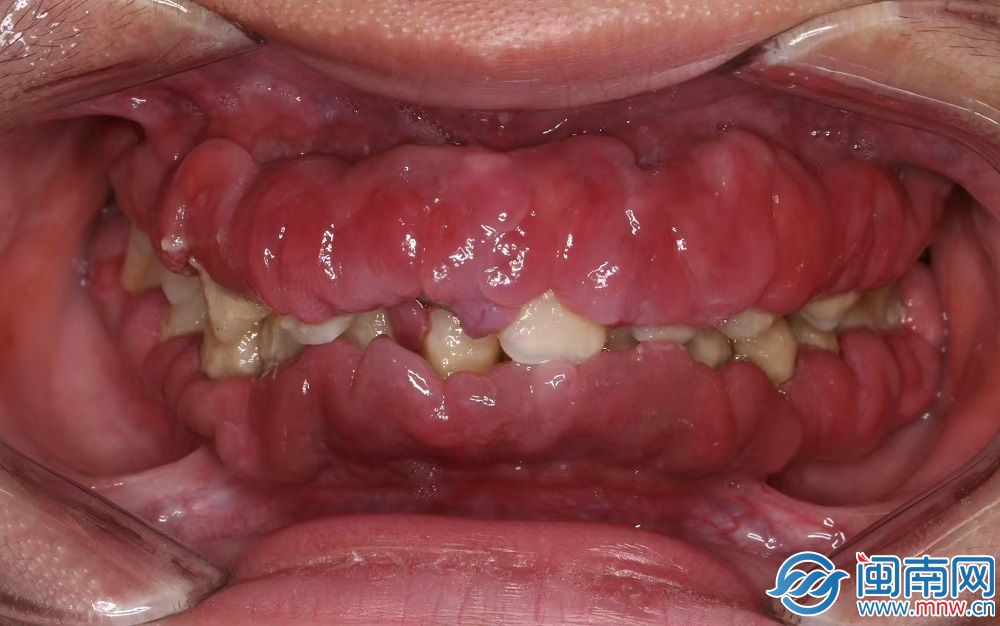
常熬夜打游戏、喝饮料、不爱刷牙!泉州14岁少年一口牙齿如同迟暮老人闽南网 昨日
-
流感季来袭,家中囤积的甲流自测盒到底靠不靠谱?红星新闻 昨日
-
“无管化”微创手术,让气道肿瘤患者重获新生极目新闻 1小时前 -
别忽视“心灵”的困扰!心理专家教你科学预防与应对极目新闻 昨日 -
点击加载更多
