闽南网12月4日讯(闽南网记者尤燕姿)14岁少年的牙齿几乎被牙龈包裹住,张口就像个没牙的老爷爷。近日,泉州市第一医院城东院区口腔科门诊来了一位患者小强(化名),当小强张开口的一瞬间,令副主任医师陈秋迎眉头紧锁。
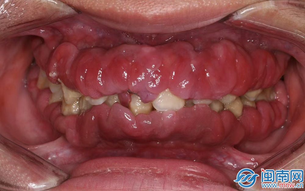
陈医生介绍,小强的牙龈红肿、圆钝,不是紧贴着牙齿,而是松松垮垮,看起来“胖嘟嘟”的,暗红色的牙龈包裹着牙齿,几乎看不到牙齿。仔细看,牙齿被一层厚厚的软垢包绕着,有些牙已经开始松动。

“胖嘟嘟”的牙龈包裹住牙齿(医生供图)
小强的妈妈说他经常熬夜打游戏,喝饮料,青春期的孩子脾气也很不好。刷牙的时候容易出血,吃硬的东西比如啃苹果时也容易出血,所以他就变得不爱刷牙,应付了事。
陈医生解释,小强这是典型的青春期龈炎,其症状与他不良的生活习惯以及青春期激素水平上升有很大关系。激素升高会使牙龈组织对牙菌斑的刺激更敏感,炎症反应加重。如果不及时进行治疗,再恶化下去小强的牙齿就会全部坏掉甚至是松动脱落。
由于青春期龈炎的早期症状容易被忽视,比如牙龈出血,刷牙时容易出血,用牙线容易出血,有些人因此害怕刷牙龈,从而导致菌斑堆积更多,加重炎症和出血,形成恶性循环。此外,长期用口呼吸会导致牙龈干燥、增生;过多摄入高糖食物和碳酸饮料也会破坏牙龈。久而久之,发炎的牙龈会变得松软、脆弱,表面失去正常的光泽。可能还伴随着口臭、牙龈敏感疼痛,严重的会发展成牙周炎。
陈医生提醒,如果出现以下症状,就表示炎症可能加重,需要立即就医:牙龈边缘向牙根方向移动,导致牙根暴露,牙齿看起来“变长”;牙龈红肿增生,一碰就容易出血;感觉牙齿有松动感,或者牙齿之间的缝隙变大;牙齿对冷、热、甜、酸的食物产生过性酸痛;挤压牙龈时,牙龈与牙齿之间的缝隙有脓液流出。
陈医生介绍,青春期龈炎是可逆的,正确刷牙、找专业医生治疗,做洗牙或者牙周检查等;调整生活习惯,少熬夜,均衡饮食,减少高糖零食和饮料的摄入;多喝水,保持口腔湿润;纠正口呼吸等不良习惯。
