极目新闻记者 廖仕祺
通讯员 李林牧 潘雨茜 胡玲
许多人对脚踝受伤并不在意,以为过段时间便会自行康复,殊不知一时的大意可能导致终身的残疾。武汉市民孔先生(化姓)在下楼的时候不慎踏空,崴伤左踝及小腿,却险些因为大意导致畸形愈合而落下残疾,武汉市普仁医院创伤骨科的专家及时发现病灶才成功化险为夷。
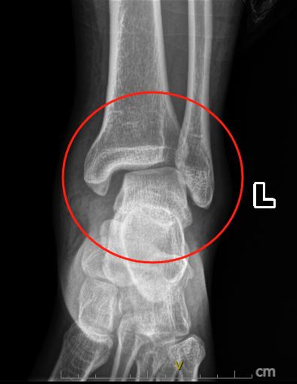
孔先生今年33岁,2月13日晚在下楼时孔先生不慎踏空台阶失去平衡,崴伤了左踝部及左小腿,当即便感到疼痛难忍、无法正常行走,孔先生立即求助朋友并打车来到了武汉市普仁医院急诊就诊。经过简单检查,X线提示孔先生的腓骨骨折,踝关节脱位待排,接诊的急诊骨科主治医师李健伟立即为他用支具固定,用石膏托固定制动。
孔先生回忆道:“因为从检查的片子结果上看,我伤得不太严重,是可以回家保守治疗的,当时又是大过年的,我就想着尽快回家静养。但李健伟医生观察到我的踝部症状很严重,反复检查后不放心让我回家自行休养,在他的建议下我才选择了住院进行进一步检查。”
创伤骨科/足踝外科专家团队经过进一步检查,发现孔先生系Maisonneuve损伤,即踝关节脱位、腓骨上段骨折、下胫腓分离。这种损伤十分少见,非常容易漏诊,一旦孔先生选择了打完石膏回家观察的保守治疗,将会导致他的左足畸形愈合,行走功能障碍,创伤性关节炎,慢性踝关节疼痛,踝关节不稳定,甚至可能会导致下肢关节的对位对线不良,人体力线不正常,进而影响到全身的关节和肌肉系统,严重的更是会造成终身跛行与残疾。
术前可见孔先生踝关节韧带损伤撕裂
“一般医生往往会关注踝关节疼痛,从而忽视了小腿近端的疼痛,而在影像学检查的时候,不会刻意去关注腓骨近端的影像,从而忽视了Maisonneuve损伤。”创伤骨科主治医师周旺表示,孔先生的病症主要是在踝关节旋转时受到暴力,从而导致踝关节内踝或者后踝的骨折,另外暴力会向上传导,传导至腓骨近端,使腓骨近端也产生骨折。由于其涉及下胫腓韧带及胫腓骨骨间膜,这个骨折是在受暴力的情况下损伤的,损伤比较重,需要手术治疗。”
考虑到孔先生的伤处肿胀严重,且他有高血压、糖尿病病史,在与孔先生进行充分沟通后,创伤骨科专家团队迅速为他制定出个性化方案,严格控制他的血压血糖、积极预防下肢深静脉血栓,待他的伤处肿胀消退后立即进行手术治疗。
2月22日上午,创伤骨科医护团队为孔先生行踝关节修复手术,术中可见他的三角韧带浅层、深层完全撕裂,医生们仔细清除断裂凝血块,逐层切开皮下、筋膜后以血管钳行手法复位,配合髓内针旋转动作顺利将髓内针置入骨折近端髓腔。术后孔先生恢复良好,可以自行坐起并正常进食。
术后孔先生踝关节韧带修复内固定良好
武汉市普仁医院创伤骨科/足踝外科主任张奕提醒,踝关节扭伤后务必及时就医。在日常生活中,踝关节扭伤是一种常见的运动损伤,有时候踝关节扭伤可能还会伴随着骨折、脱位等更严重的损伤。如果是轻微扭伤,只需要进行休息、冰敷、压迫包扎等保守治疗,而有些严重的扭伤,则需要进行手术治疗,这时不能仅凭自己的判断来确定伤势的严重程度,一定要及时前往医院就诊,由专业的医生来评估和处理。
(图片署名:武汉市普仁医院供图)
