大皖新闻讯最近几天,国内多地出现鹦鹉热病人。什么是鹦鹉热?它与鹦鹉有关系么?鹦鹉热病人有何症状?安徽有无此类病例?4月3日,大皖新闻记者采访了解到,合肥医疗机构每年都会接诊少量、散发的鹦鹉热病例,大部分患者都有明确的鸟禽类接触史。曾经,因给孙子购买了两只鹦鹉,合肥一位66岁老人感染鹦鹉热住进ICU,经过一个月的治疗才康复出院。
老人因感染鹦鹉热住进ICU
持续高烧、乏力、寒战、头晕头痛……66岁的张勇(化名)怎么也没想到,自己差点儿被两只病死的鹦鹉夺走了性命。
这个患者送来的时候病情非常严重,体温达到了40℃,意识已经模糊,呼吸非常急促。在询问病史后,安医大一附院感染病科副主任医师徐楠立刻给张勇完善了相关检查。病原微生物二代测序结果显示,张勇感染了鹦鹉热衣原体。
因病情较重,呼吸困难,张勇被转入ICU进行气管插管等相关治疗。
第一次听说鹦鹉热这个疾病,张勇的家人立刻联想到了家里不久前病死的鹦鹉。这两只鹦鹉是从室内动物园买回来给孩子玩的,大概在我爸发病前一周病死了,尸体是他处理的。
在张勇住院后,他的女婿也出现了发烧症状,伴有肌肉酸痛。经检查,他也感染了鹦鹉热,经过药物治疗很快就康复了。因病情较重,张勇经过一个月的治疗才康复出院。

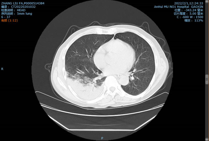
张勇(化名)肺部出现感染。
鹦鹉热在临床上呈散发状态
大皖新闻记者从中国科大附一院(安徽省立医院)感染病院、安医大一附院等多家医院了解到,在临床上,医院每年都会接诊鹦鹉热患者,但数量不多,呈现散发状态。需要注意的是,因发病比较隐匿,部分鹦鹉热患者送医时病情已经比较严重,住进ICU治疗的患者并不鲜见。
什么是鹦鹉热?又有哪些临床表现呢?据悉,鹦鹉热是由鹦鹉热衣原体引起的一种人兽共患传染病。该病原体最早从鹦鹉体内被发现,故名鹦鹉热。主要在鸟类及家禽中传播,也称鸟疫,也可由染病动物传染给人。
我们接诊的大部分病人都有明确的鸟类家禽接触史,如果是接触过这些家禽或者鸟类,继而又出现发热,建议还是要尽快就诊。中国科大附一院(安徽省立医院)感染病院重症医学科主任医师杨云表示,通常人感染鹦鹉热后主要为高热(体温可达39℃以上)、头痛、干咳、乏力、呼吸困难、肺炎等症状,若不及时治疗可发展成重症,病程延长甚至死亡。
鹦鹉热传染源不止是鹦鹉
前段时间我们还接诊了一位鹦鹉热患者,他是养鸭子的。徐楠提醒,鹦鹉热的传染源不止是鹦鹉,它的传染源主要是鸟类和家禽,比如鹦鹉、鸽子、鸭等,主要通过空气和密切接触传播,如吸入染病鸟类或家禽的粪便、分泌物、羽毛的气雾或尘埃而感染,同时也可经破损皮肤、黏膜或眼结膜感染。
那么,哪些人容易感染鹦鹉热呢?据介绍,人群普遍易感,家禽饲养人员、售卖人员、屠宰人员、养玩赏鸟者、宠物店工作人员等感染风险较高。潜伏期一般为5-21天(最短3天、最长可达45天)。
高烧超过三天要及时就诊
徐楠提醒,鹦鹉热等感染性疾病早期没有特别典型的症状和体征,基本都是发烧、咳嗽、头痛、肌肉酸痛等症状,和感冒没有太大差别,所以很容易被漏诊或误诊。
大家一定要有一个意识,如果高烧超过三天,要到医院去抽血,完善相关检查。医生通过血象的变化,会有一个大致的一个判断。比如说鹦鹉热,需要用一些特殊的检测的方法,能够很快把病原体识别出来,从而进行对症治疗。徐楠说。
如何预防鹦鹉热?合肥市疾控中心专家提醒,接触鸟类或禽类时,应注意规范佩戴口罩手套、勤洗手,同时避免被抓伤、咬伤。尽可能不接触、不食用病死鸟类或禽类,如需处理病死鸟禽时应做好个人防护。鹦鹉热无针对性疫苗,如出现发热、头痛、咳嗽等症状后应及时就医,并告知医生是否接触过鸟类或禽类。对饲养鸟类或家禽的环境、场地及用具可用0.5%石炭酸溶液等进行规范消毒。
大皖新闻记者叶晓实习生张光洁
编辑许正文
