极目新闻记者 廖仕祺
通讯员 李林牧 潘雨茜 叶欣
“还以为和上次一样,疼一下就没事了,没想到这次会这么严重!”躺在武汉普仁胡海胆石病医院的病床上,林先生(化姓)仍心有余悸。
林先生今年36岁,由于工作较忙,平时经常熬夜,饮食也不太规律。10月9日吃完晚餐后,林先生突然感觉腹部绞痛,连忙就医检查,但由于是饭后检查,再加上腹痛很快得到了缓解,林先生没放在心上直接回家休息了。不料,10月10日早上,林先生的腹部剧痛突然再次“强势来袭”,疼痛难忍的林先生被120紧急送到了武汉市普仁医院。
“我早上想着吃清淡一点,6点多的时候就买了碗馄饨,刚吃完一个,就有一点不舒服,但以为没什么大碍,就忍着痛接着吃完了一碗馄饨。没想到10分钟后越来越严重,痛得我满地打滚,就好像把肚子撕开了一样,这才打了120。”林先生痛苦地回忆道。
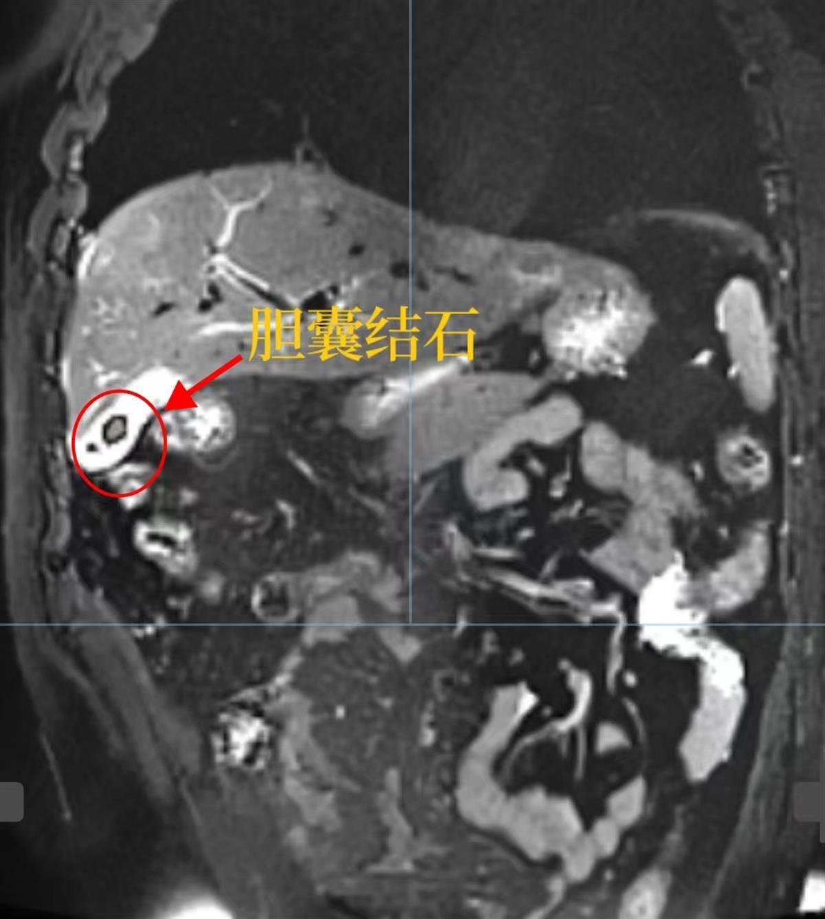
由于腹部伴有明显的剧烈绞痛,林先生到达武汉市普仁医院时,因疼痛难忍加上一直叫喊,导致声音都已经嘶哑,医生们立即为其急查腹部,CT检查提示“胆囊结石伴慢性胆囊炎急性发作”,其胆囊里有2颗大小约6毫米的结石,遂马上将其转至武汉普仁胡海胆石病医院,并立即给予解痉止痛、护胃、护肝、补液等对症处理,同时完善各项检查。
林先生胆囊里的2颗结石
检查结果显示,林先生肝功能严重受损,且在护肝等对症处理后第二天复查时发现其相关指标不降反升。此时,林先生的巩膜和皮肤已经开始发黄,磁共振结果显示,其胆结石已经“掉”到了胆总管。
“这种情况是典型的因进食导致胆囊收缩,胆结石被挤出胆囊管,掉落到胆总管,引起梗阻性黄疸。常见症状就是腹痛、皮肤巩膜黄染,不及时处理再往后发展就是发热,甚至引起胰腺炎、脓毒血症或感染性休克。如果进展为感染性休克,就会危及生命,需要立即行急诊手术。”武汉普仁胡海胆石病医院管床医生王君璞介绍。
10月12日上午,武汉普仁胡海胆石病医院医护团队为林先生进行了多镜联合手术。术后,林先生恢复情况良好,第二天就开始少量进食,后续复查肝功能、生化指标也较之前明显好转。
正在为林先生实施手术的医生团队
“平时因为工作原因,长时间坐着,又经常熬夜,也不怎么运动,一有时间就补觉,搞得饮食也不规律。这还是第一次发现有胆结石,没想到就这么严重,之前还一直觉得胆结石没什么。”林先生感慨道。目前,林先生已经完全康复,于10月20日出院。
武汉普仁胡海胆石病医院常务副院长江帆表示,其实大多数时候,小结石比大结石危害更大。由于胆囊管比较细,只有2至3毫米,所以大结石无法排出胆囊;而小的结石却会随着胆囊收缩排到胆总管,形成胆管结石、胆管炎,从而出现发热、梗阻性黄疸、急性胰腺炎、感染性休克等严重并发症,危及生命。随着生活方式和生活水平的改变,胆囊疾病逐渐年轻化,发病率也逐年增长。
江帆院长提醒,工作即使再忙再累,也要记住身体健康才是自己的本钱,对健康负责就是对自己负责,所以定期体检尤为重要,日常一定要坚持良好的生活作息,保持三餐规律、营养均衡、适量运动,健康至上。
如想要了解更多资讯,可扫描下方二维码加入极目新闻内分泌健康群。
(图片来源:武汉市普仁医院)
