6月22日,有网友在网上发布视频,称在河北石家庄一公园内,一游客暴力伤害“网红”斑头雁,将一只斑头雁踢死,引发网友热议。28日,该话题再次登上热搜。园区工作人员告诉北京青年报记者,斑头雁并未攻击人,只是想把游客驱赶出领地,却被游客踢死。
目前通过警方调解,游客已经道歉,园区也将不再追究。虽然三方达成和解,但律师表示,无论是不是野生动物都不能贸然攻击,否则很容易触犯法律。
有2.4万粉丝斑头雁被踢死 拍摄者:它没有攻击 只是想把游客驱赶出领地
据“踢死网红斑头雁”拍摄者游客郭先生介绍,他是该公园附近居民,今年3月份结识了斑头雁“大宝”,“它很招人喜欢”。
为了大宝,郭先生还特意为其另开通了一个抖音号,里面记录着数月来大宝的生活日常,共204条视频,大多为郭先生或其他游客与大宝互动及喂食的记录。其中不乏一些孩童追着大宝玩耍的画面。两个多月的时间里,该抖音号收获了共2.4万粉丝。
郭先生说,21日晚上9点多,他如往常一样到园区遛弯,大宝陪着他溜了一圈后回到自己的栖息地时,发现几名游客正在它的领地后,大宝就冲了上去,“但它没有攻击,只是站在游客面前,表示驱赶。”郭先生说,当时对方有5人左右,像是一家人,其中一名男子背着一位10几岁的小女孩,在大宝没有进一步攻击和逼近的情况下,男子突然回身,一脚踢在了大宝的胸口上。
“那一脚把它踢飞了两米多远,大宝摔在地上就不怎么动弹了。”郭先生说,他见此情形,担心对方进一步伤害大宝,于是上前朝着对方胸口顶了一拳,在呵斥住对方后,他连忙上前查看大宝的伤势。“起初我叫它,它还能勉强抬头张嘴回应,可慢慢地,大宝头就抬不起来了,只是嘴一张一合的,没了声音。”郭先生说。
根据郭先生现场拍摄大宝被踢伤后的视频,可以听到对方游客与其争吵的内容。对方游客表示,当时家中孩子正在玩耍,大宝朝着家人冲来的样子,吓到了孩子,于是男子朝着大宝胸口踢去。
“大宝虽然记仇,但它也不会轻易伤害别人,它因为发情咬过我两分多钟,但连皮都没破,造不成实质性的伤害。”郭先生说,后来其他游客报警,园区带着大宝去检查,自己也因为和对方发生了争执,被警方带走。28日,郭先生告诉北青报记者,目前他与对方达成和解。
园区:斑头雁确实没有发起攻击 游客已经道歉 园区决定不再追究
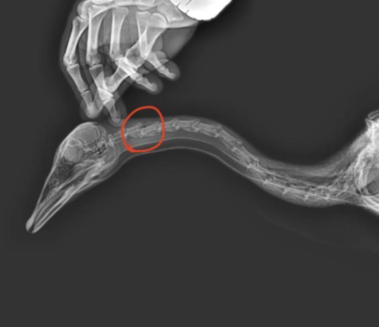
随后,北青报记者致电河北省园博园园区,工作人员表示,该斑头雁是园区人工饲养,被游客踢中后倒地不起,虽然园区工作人员第一时间赶到现场,拨打了报警电话,并将大雁送医,可惜中途大雁死亡。根据拍摄CT显示,大宝颈部骨头断裂,胸腔肺部有凹陷。
工作人员表示,园博园景区整体植被覆盖率近90%,绿化面积达到近千亩,内有湖泊,建园初期就引进了一些野生的鸟类,如斑头雁、赤麻鸭、黑天鹅等温顺鸟类,同时景区内也设有相应休息地及栖息场所。
工作人员告诉北青报记者,事发时游客进入了斑头雁的领地,斑头雁冲上前进行驱赶,游客害怕遭到攻击,情急之下踢了过去,“当时斑头雁确实没有发起攻击。这算是个误伤。”工作人员说,目前经过警方的调解,该游客已经向园方致歉,而园方也不打算继续追究。
野生动保专家:踢走斑头雁并非唯一选择 遇野生动物请尽量保持远观
唐山市大清河野生动物收容救助站站长田志伟告诉北青报记者,斑头雁属于三有保护动物,是中型雁类,是繁衍在高原湖泊的迁徙鸟类,但也经常会出现它与其他鸟类甚至家禽群居的情况,属于三有保护动物,即指国家保护的有重要生态、科学、社会价值的陆生野生动物。
田志伟表示,斑头雁平日性情温和,不像鹅一样具有较强的攻击性,如果遇到斑头雁拦路,很有可能是侵犯了其领地或由于其他人的侵犯,造成了它记仇的警觉性,只要无视并迅速离开,就不会造成威胁。但由于野生动物的习性各有差异,部分野生动物喜食昆虫或鱼类,身上很可能存在病菌或寄生虫,建议游客在面对野生动物时,尽量保持远观态度,切勿轻易靠近,保护野生动物的同时也是保护自身安全。
律师:无论是不是野生动物 都不能贸然攻击
北京京本律师事务所连大有律师表示,无论是不是野生动物都不能贸然攻击,否则很容易触犯法律。
他说,依据《民法典》的规定,动物饲养人或者管理人应当承担侵权责任,同时也规定能够证明损害是因被侵权人故意或者重大过失造成的,可以不承担或者减轻责任。在动物园等景区的管理人饲养人尽到管理职责的,管理员或饲养员不承担侵权责任。在《民法典》中并没有规定人们在“可能”遇到动物侵权的时候,可以对动物进行维权。
按照《野生动物保护法》的规定,任何人对野生动物都有保护的义务。如果保护动物危及到人身安全,这种情形构成紧急避险,可以采取措施反制,不用承担法律责任。野生动物的生命属于公共财产,人的生命健康权高于任何财产权,如果保护动物危及人身安全时,采取反制措施构成紧急避险,和正当防卫的效果相同,不用承担刑事责任。但紧急避险不能超过必要限度,超过必要限度的,也将承担法律责任。
律师认为,斑头雁的伤害程度,尚不能构成紧急避险的条件,对于假想的伤害而采取了踢死大雁的做法明显超过了正常人的认识,应将承担法律责任。
同时律师认为,虽然该斑头雁是园区人工饲养,但也给公园造成了损失,公安机关可以依据《治安管理处罚法》的规定,及该游客的具体情节,对于毁坏公私财物的行为,对其可以处五日以上十日以下拘留,可以并处五百元以下罚款;如果达到情节较重的情形,可对其处十日以上十五日以下拘留,可以并处一千元以下罚款。公园也可以向该游客主张侵权赔偿。对于违反治安管理情节特别轻微或者主动消除或者减轻违法后果,并取得被侵害人谅解的或主动投案,向公安机关如实陈述自己的违法行为的,公安机关可以对其减轻处罚或者不予处罚。对该类违法行为也可以对其进行警告或罚款。
文/北京青年报记者 王浩雄
